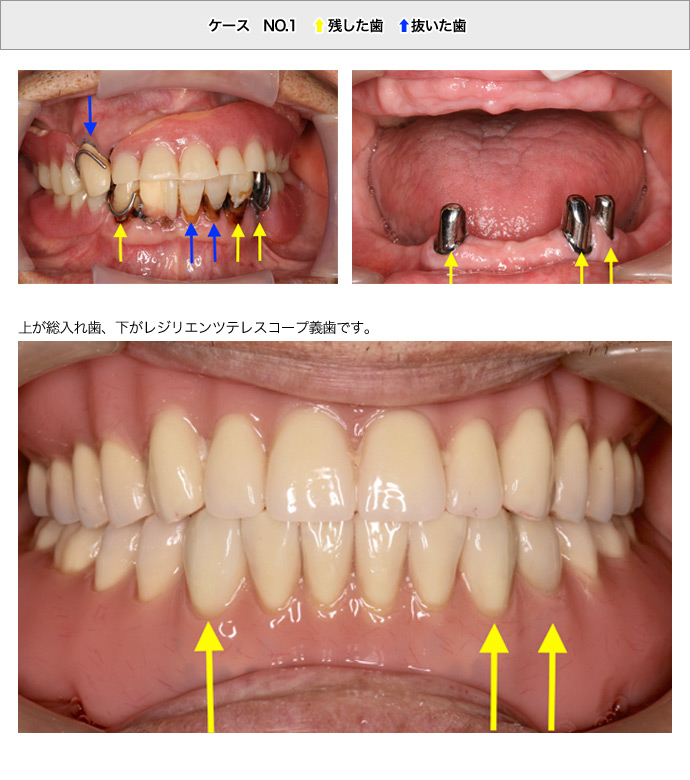
レジリエンツテレスコープ義歯と総義歯
レジリエンツテレスコープ義歯とは
自分の歯が少なくなって、上または下アゴのどちらか一方の、残っている歯が3〜4本以下になった場合に適用します。
このような場合、多くは寿命の長い糸切り歯が残っています。
レジリエンツテレスコープ義歯は、残り少ない歯にバネで無理をかけずに、総入れ歯の形で、残っている歯も一緒にかぶせるのでバネが邪魔にならず、見えません。
自分の歯のように噛むことができます。
残っている歯が抜けたとしても、そのまま総入れ歯として使っていくことができるので、長持ちします。


総入れ歯の方について
・歯槽膿漏で歯を失った
・若い時に総入れ歯に移行した
・合わない総入れ歯を長い間使った
このような方のアゴは、アゴの骨が痩せて、総入れ歯が不安定になりがちです。
総入れ歯になったら、もう歯の治療が必要無いわけではなく、痩せてきたアゴの骨に合わせるように、修理したり新しく作るなどのメンテナンスが必要になります。
総入れ歯は、維持安定を求める歯が無いので、たくさんのノウハウやチェックポイントに注意を払って製作していく必要があります。
介護が必要になる前にしっかりと歯の見直しをしましょう。
(インプラント治療を希望される方は、介護が必要になった場合のメンテナンスをどのようにするか考えておきましょう。)
リーゲルテレスコープ義歯の症例1
リーゲルテレスコープ義歯のケースを紹介します。
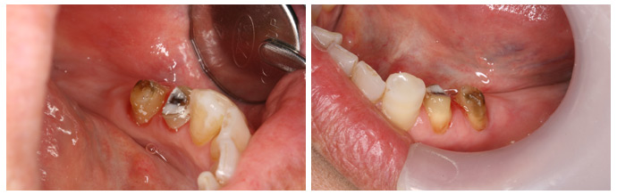
左下の二本の奥歯を失ったケース

普通は、バネを2〜3本残った歯に持たせて作ります。しかし思ったように噛む力が出なくて、上下左右に揺れてしまいます。バネに持たせた歯も揺さぶられて、短命になることが多いです。患者さんは、初めて入れ歯を装着するケースです。
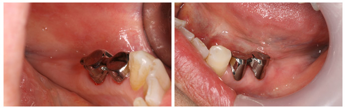
しかし、リーゲルテレスコープ義歯は、インプラントなしで、このような問題を一気に改善します。

内側の冠を入れたところ。
(外側にはもう1つの冠をつけた入れ歯を入れます。)

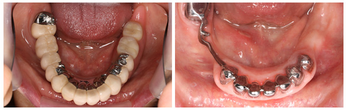
現在この入れ歯は完成前の状態です。
外側の冠に付いたレバーロックを開くと入れ歯を外すことができます。

模型上で撮影した写真をお見せしましょう。まずレバーロックを開いたところ。

レバーロックを閉じるとまるでマジックのように外側の冠と一体化して見えなくなります

ハンドメイドの入れ歯で、このような驚くべき精度は、高い技術で製作されていることが良く窺えると思います。
外側の冠のついた入れ歯を入れたところ

患者さんにとって初めての入れ歯でしたが、レバーの開閉も上手にできて、違和感も少なく、よく噛めると喜んでいらっしゃいました。 今後、この素晴らしいシステムの入れ歯が、歯を失ってしまった、たくさんの患者さんたちに知ってもらい、受け入れてもらえればその方の口福に繋がるだろうと思います。
リーゲルテレスコープ義歯の症例2
リーゲルテレスコープ義歯のケースを紹介します。
テレスコープとは望遠鏡の意味で、内側の筒状の冠を歯にかぶせ、外側の筒を入れ歯にしたものです。また、リーゲルとはかんぬき(閂)の意味で、内側の筒と外側の筒(入れ歯)をレバーにより固定するものです。
この入れ歯は、自分で装着したり、外したりできるものですが、どちらかと言うと入れ歯と言うよりは、固定式のブリッジに近いかもしれません。そのくらい強く噛むことが出来、硬い食べ物を味わうことができます。
また、お口の中でコンパクトにまとまって、邪魔になりません。バネがないので、食べ物が引っかかったり、頬や舌が荒れたりしません。バネがないので、笑った時に見えるのは、白い歯だけです。

入れ歯を装着し、レバーをロックして動かないようにしたところです。

レバーを爪で開いて入れ歯を外せるようにしたところです。
この入れ歯は、インプラントのような外科手術が必要ありません。
入れ歯でしっかり咬むことを諦めている多くの人には、このドイツ方式の入れ歯をぜひ知って欲しいと思います。
日本の現状は、やむを得ず歯を失って入れ歯になると、さらに入れ歯のバネ(クラスプ)のために歯を失って、より大きな入れ歯を再製作することを繰り返しています。これでは、どんなにおいしいものを食べても、食べ物のうまみが口の中で広がらないし、しっかり咬めなくて消化吸収が入り口でつまずきます。
金属床義歯(コバルトクロム床)
装着感が良い、違和感が少ない、しっかりしてよく噛めると患者さんからの評判の高い入れ歯です。
当院ではこのタイプを最も多く製作しています。
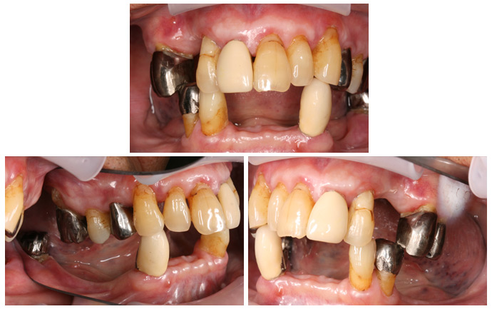
術前の写真

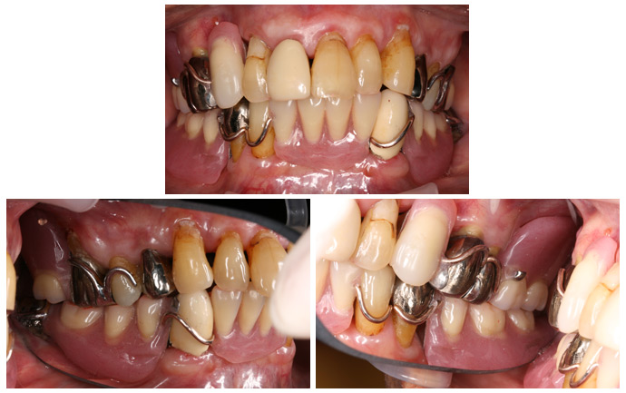
入れ歯を装着したところの写真

上下の入れ歯写真

★バネをかけた特定の歯に、無理がかからないように、力を分散して正確に設計してあります。
★お口の中の歯とアゴにピッタリと合うように、精度を上げて正確に作ってあります。
噛み合わせにも細心の注意を払っています。
★上アゴ、下アゴの内側の部分を金属にして、薄く仕上げ、違和感が少なくなっています。
下の動きを邪魔しないように作っています。
また、金属を使用する事により入れ歯が軽量化します。
★前歯のバネは、白金のワイヤーをしようして、バネが細かく目立たないようになっています。
白金のワイヤーは柔らかくて、弾力があるため、歯に無理な力が加わりにくい特徴があります。
カテゴリー一覧


