自覚症状がないまま進行する恐ろしい病気

歯周病とは、歯垢に含まれている『歯周病菌(細菌)』に感染して起こる感染病です。
歯と歯茎の間に炎症が起き、進行すると歯茎が腫れたり出血したり、歯茎の下にある骨が溶けてしまい、最終的には歯が抜けてしまいます。
初期の歯周病には自覚症状がほとんどありません。そのために気づいていない方が多いだけで、実際には日本人の成人の約80%が歯周病にかかっていると言われています。
このような症状に心当たりはありませんか?
・歯茎の色が赤い
・歯磨きをすると出血する
・口臭がする
・歯と歯の間に隙間ができた
・歯が長くなった気がする
・冷たいものがしみる
・歯が浮いたような感覚がする
・膿が出る
・歯がグラグラする
上記のような症状が1つでもあれば早めにご相談ください。
歯周病の治療について知っていただきたいこと
☆歯を支えている骨は、一旦溶けてしまうと二度と元には戻りません。
もしも溶けた骨が元の状態に戻るならば、それは再生と呼ばれる現象であって切断された指がまた生えてくるような現象に近いことです。
このために歯周病は一見治ってように見えても、歯磨きを怠ったり定期検診をしなかったりすると再び発症し、歯を支えている骨を損失してしまい、歯周病がまた一段階進行してしまいます。
☆歯周病で歯がグラグラして抜けてしまうと、両側の歯を削ってブリッジと言われる冠を入れるようになります。
しかし、お口の中の管理を怠ると知らぬ間に歯周病が進行してしまい、せっかく治した歯を再治療したり、場合によっては入れ歯を装着しなければならなくなることがあります。
病気の進行度は次のように判断します。

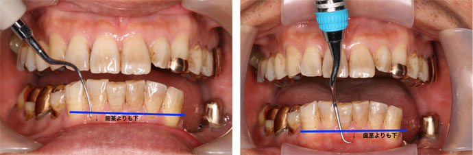
歯と歯茎の間のポケットと呼ばれる溝の深さ、歯の揺れや検査に伴う出血の測定、レントゲン撮影を行い検査をします。
ポケットの深さ
●2~3mm 健康
●4mm 軽度の歯周炎
●5~6mm 中等度の歯周炎
●7mm~ 重度の歯周炎
当院での歯茎の検査を受ける時には、歯科衛生士が○mm と読んで測定データを記録しますので注意し
て聞いてみてくださいね。患者さんも歯茎の状態がわかると思います。
当院でのこだわり治療

①歯磨き
歯周病や虫歯予防ではなく、患者さん自身が行う治療です!
歯の豆知識をご参考ください。
読むと歯磨きがとても上手になります。
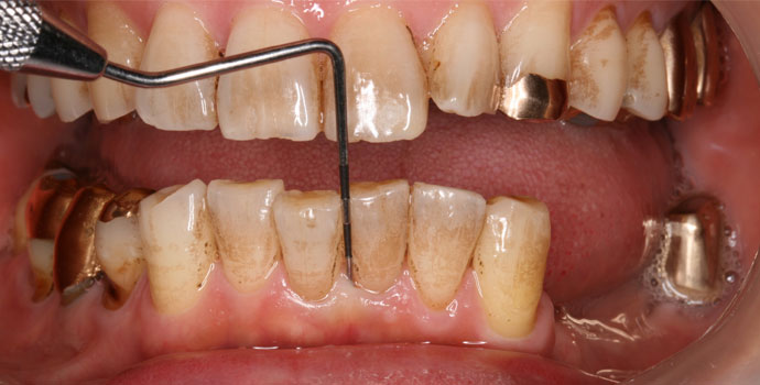
②除石
スケーリング、歯の掃除などとも言います。
歯科衛生士が行う大変重要な治療です。
痛くないように、目に見えないところまで歯を綺麗にします。
歯茎よりも上についている歯石と歯茎の中についている歯石に分かれます。
(歯茎より上についている歯石)

肉眼で歯石を確かめながら取り除いていきます。比較的硬くないため、スピーディーに綺麗にすることができます。
(歯茎の中についている歯石)

歯茎の中にある歯石は、肉眼で見ることができません。歯石の凹凸を器具の先で探りながら、歯石を取り除いているため、高度な技術と集中力が必要です。しかも歯石は硬く、ポケット深くにあります。歯石を取り残すと、歯周病は改善されません。
また歯の根の面を傷つけてしまうと治りが悪くなってしまいます。
当院では、機械で歯石を取る場合には歯を痛めぬよう最小限のエネルギーで、細心の注意を払い歯石を取り除いています。また機械で取りきれない場合は、先端の細い器具を何種類か使用し、取り除いています。大変難しい治療です。
この処置では患者さんが痛くならないように、局所麻酔下で行う外科処置です。通常、患者さんのお口を6ブロックにわけ、全体で6回の治療回数となります。再び検査をして歯石が残っているようならば、再度除石を行うか、歯茎を切開し肉眼で直視できる状態にし、除石を行う手術を必要とする場合があります。
当院では、タイミングを見計らい、必要な方に最小限の手術を行っています。
除石だけでも十分な効果が得られるよう、消毒効果のある洗口剤や抗菌剤を使用することもあります。
また、薬剤が唾液によって流されないようにマウスピースを作り、その中に薬剤を入れて歯に装着することで長時間作用させることができるドラックデリバリーシステムをお勧めする場合があります。
歯周病治療の目標とは

前述しましたように、歯周病に罹患すると若かった頃の状態には戻りません。
治療の目標は、健康で安定した歯茎になることです。
・歯茎の色が健康的なピンク色になり、腫れもなく引き締まっている。
・歯の揺れが軽減されている。
・口臭がなくなる
・痛みがなくなり、膿が出なくなる。
もしも歯磨きをやめてしまえば、歯周病は4〜5日で後戻りしてしまいます。当院の患者さんは完璧な歯磨きをする方が多く、健康で打たれ強い歯茎をしています。
歯周病の治療を行わずに歯を抜いて、インプラントを植立する治療が多くなってきているようです。歯周病の歯の間にインプラントを植立することは、長期間の安定した状態を維持することが少し難しくなります。インプラント周囲炎の罹患率は高く、やはり歯周病とともに徹底した管理が必要になることを覚えておいてください。
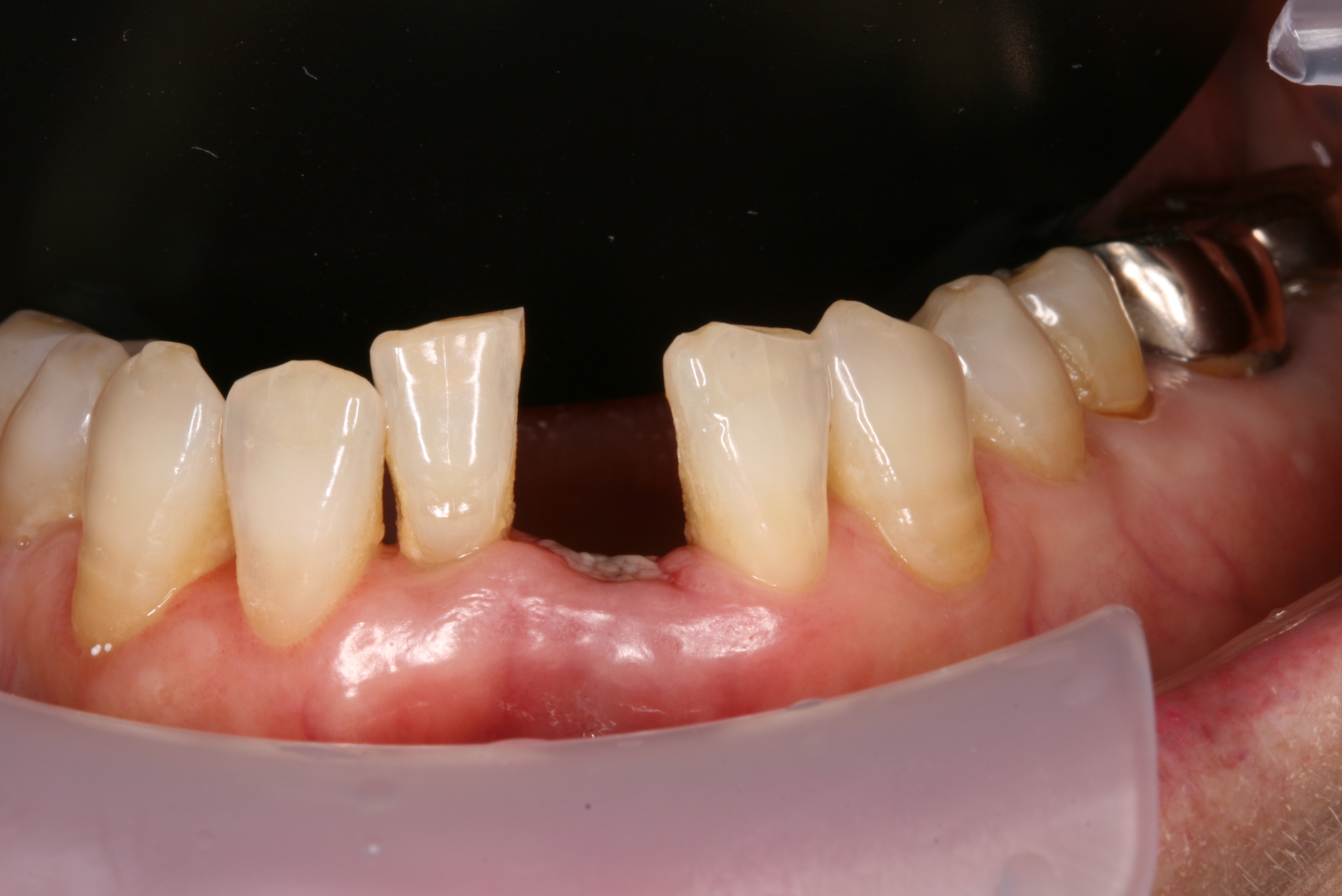
歯槽膿漏で、もし歯が一本抜けると、両側の歯を削り、3本組の歯を作ることになります。
また、二本抜けてしまうと、その両側の歯を削り、合計で4〜6本組の歯を作ることになり、歯を失うたびに大がかりになっていきます。
このため、なんとか歯槽膿漏をストップし、安定させた状態で長く歯の機能を保たせたいものです。
①歯磨きをしっかりすること
②歯科医院でお掃除をしてもらうこと(スケーリング)
通常の予防管理は上記の通りで良いのですが、重症になってくると
③抗生物質を併用する(歯周内科)
④歯周外科治療をする
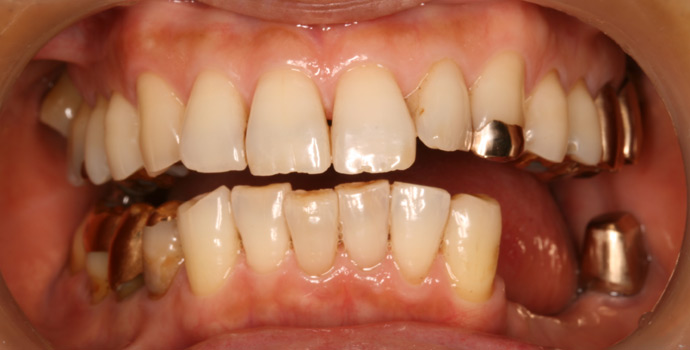
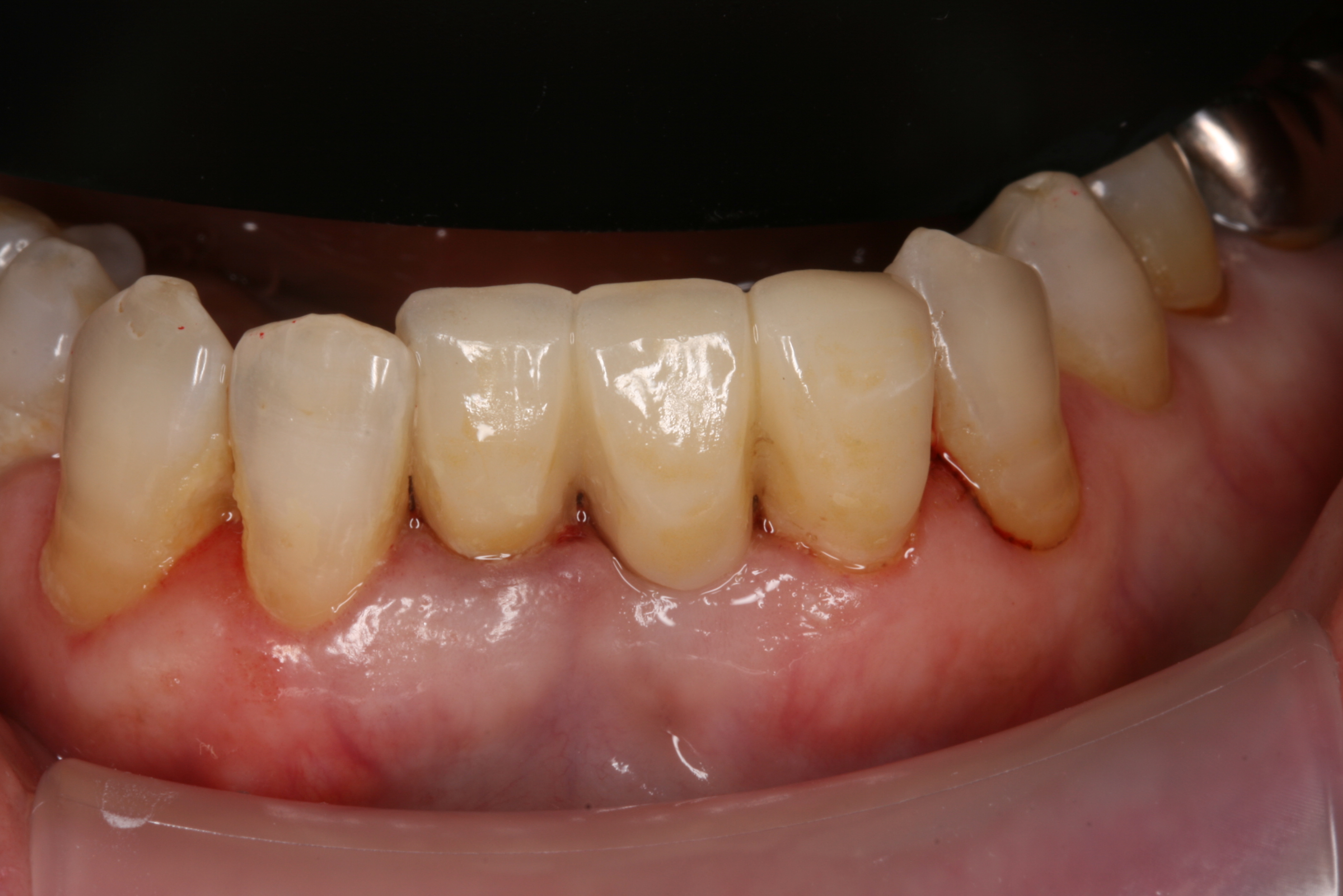
この方の場合は、③までの治療で、手を尽くしましたが、来院の間隔がやむを得ず長くなってしまい病気が進行しました。このため④歯周外科をする時期を逃してしまい、両側の歯に炎症が波及する可能性があり、残念ながら抜歯させていただきました。
前歯のブリッジをセットして、これから長く使っていただけるよう、歯周組織の管理を患者さんと二人三脚でやっていく予定です。
この方の場合、他の場所にもブリッジがありますが、15年間全く問題なく使っていらっしゃいます。
健康で安定した歯茎を維持するためにも、毎日の歯磨きを頑張ってくださいね。そして当院での定期的な検査で、患者さんが自立できますように応援しております。末長くお付き合いください。
カテゴリー一覧


