ていねいな麻酔処理やさまざまな手法で痛みを緩和

お子様だけでなく大人の方でも「歯医者は苦手」という方は少なくありません。苦手な理由として多く挙げられるのは「痛みへの恐怖」ではないでしょうか。
痛覚の感覚(感度)というのは、とても個人差が大きいものです。ほんの少しの刺激でも「苦手な人は苦手」なので、当院では、さまざまなスタイルで対応すると共に、細心の注意を払ったていねいな麻酔で、痛みを最小限に抑える工夫をしています。
まずはリラックスしていただくことから始めます
まずは、スタッフが笑顔で迎えること。そして、院長もスタッフも患者様とたくさん話をします。たくさん会話をすること自体がリラックスにつながります。また、お子様だけでなくご年配の方にも「痛くなくなる『おまじない』をしますよ~!」とお声をかけることもあります。
「おまじない」というと、たいていの患者様が「クスッ」と笑ってくれるのですが、この「ひと笑い」が一番大事だと思っています。笑うということはリラックスしている証拠。リラックスすることで、心理的な効果だけでなく、体の力が抜けて筋肉の緊張が解け、実際に痛みも軽減されます。
さまざまな麻酔方法
表面麻酔
歯科治療では、痛みを抑えるために麻酔をかけますが「麻酔そのものが痛かった/苦手」という方もいらっしゃいます。そんな、麻酔の注射針を指すときの「チクッ」とした痛みを抑えるために使用するのが表面麻酔です。
表面麻酔とは、皮膚や粘膜の知覚を麻痺させるために行う麻酔法のこと。塗り薬のように歯ぐきの表面に塗布することで、痛みを感じにくくなります。
また、歯ぐきの表側と裏側で表面麻酔を使い分けています。表側には、ジェル状の麻酔を塗りますが、歯の裏側にジェルを塗ると口腔内にたれて不快感を与えてしまうので、歯の裏側には、歯ぐきに貼り付けることができるテープ式の表面麻酔を使用しています。
なるべく削らない治療をモットーにしています
髪や爪と違って、削ったり抜いたりした歯は、元通りにはなりません。そして、どんなに高度な治療や高級な詰め物も「生まれ持った歯」には敵わないのです。ですから当院では「できるだけ削らない、抜かない」ということを方針として、虫歯治療を行っています。
当院では、「Co段階の虫歯は削らず、それ以上進行しないように予防する」という方針で、"生まれ持った歯を大切にし、可能な限り残す"ことを重視しています。なぜなら、少し削って形を変えるだけでも歯が傷むので「歯を削ること」はそれ自体がリスクにもなると考えるからです。
ただしどうしても削らなければならない場合には、その必要性をご説明した上で、最小限の範囲で削り「虫歯を残すことによるリスク」を排除します。いずれにしても「治療後のメンテナンス」が大切ですので、定期検診などにはしっかり通っていただきたいと思います。
虫歯の進行状態と治療方法
●Co(シーオー:初期う触)
歯が溶け始めて虫歯が始まっていますが、まだ穴があいたり、黒くなったりしていない段階なので、フッ素入りの歯磨き剤でしっかり歯みがきすれば、再石灰化させることが可能です。
●C1(エナメル質う触)
虫歯菌によって歯の表面を覆っているエナメル質が溶かされ、小さな穴ができた状態ですが、象牙質までは達していないので痛みはありません。治療は、虫歯部分を必要最小限削って、保険適用内の白い詰め物をすることで完了します。
●C2(象牙質う触)
エナメル質の下の象牙質まで虫歯に侵され始めている状態です。冷たいものや甘いものがしみることがあり、触ると痛みを感じるため、治療の際には麻酔が必要です。虫歯の範囲が小さければC1同様の治療で済みますが、虫歯が歯の深部にまで広がっている場合には、麻酔をして患部を削り、型取りをしてから製作した詰め物を装着します。
●C3(神経まで達したう触)
虫歯菌がエナメル質と象牙質を溶かして神経まで到達した状態です。激しい痛みを感じる場合が多く、さらに進行して神経が壊死してしまうと、細菌が根の周囲で炎症を起こして膿が出たり、歯ぐきが大きく腫れたりします。
C3レベルにまで悪化しているケースでは、根管治療が必要となります。麻酔をして、根管治療によって壊死した神経や膿を取り除き、歯の根の中をきれいにしてから被せ物をします。
●C4(残根状態)
歯のほとんどがなくなってしまい、根だけが残っている状態です。ここまで進行すると抜歯するケースが多くなりますが、治療可能な歯質が残っていれば、C3のケースと同じように根管治療を行ってから被せ物をします。
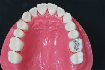
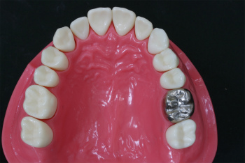
間欠的間接覆髄IPC について
ティーンエイジャーの歯はまだ完全に成熟していないので、虫歯の穴は小さく見えても深く大きく広がりやすく、中の神経にまで進んでいることがあります。
もし、神経にまで虫歯が広がっていると、中の神経の処置をしなければなりません。その後上から冠をかぶせるようになります。受療のため何回も通院し、費用もかかります。
![]()
![]()
![]()
寿命を80歳前後と考えると、ティーンエイジャーは70年近くこの歯を管理しなければなりません。
床の間の壷のような飾り物ならばいざ知らず、毎日激しく使う治療済みの歯が、もしも70年持つとしたら、極めて稀なケースと言えます。
QOLを考慮すると、歯の寿命は100歳を目標にすべきです。生きている間は、食べ物をしっかりおいしく食べましょう。
![]()
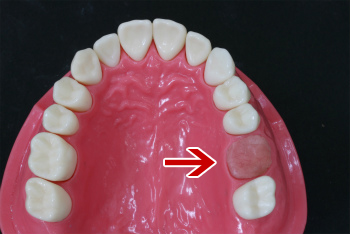
虫歯をきれいに除去したときに、神経が見えたらいつも判断に悩んでしまいます。
神経を取り除く(抜髄)か神経を温存する薬を塗る直接覆髄をするかです。
直接覆髄はあまり予後がよくありません。
![]()
そこで、意図的に虫歯を少し残して、間接的に神経を温存する薬を塗り、とりあえず歯に詰め物をして終了します。その後、定期的にレントゲンを撮影して、象牙質ができたか確認し、もう一度残してきた虫歯を取り除いて詰め物をします。薬は抗生物質(3MIX)よりもHYカルボテンポラリーソフトの方が学会のお墨付きもあり、予後が良いです。
ティーンエイジャーにおいて成功率の高い方法です。
奥歯を救え!入れ歯にならないようにするためには。
1番短い「奥歯」の寿命
厚生労働省の調査によると、歯の平均寿命は約50~65年。
その中でも「奥歯の 寿命」が最も短く、前歯より10年以上も早く抜けてしまいます。
日本人の平均寿命(2013年)は男性が約80歳、女性が約86歳なので、1番短い大臼歯の場合、10歳で生えたとすると、体の寿命とは20年以上の差があることになります。
よくある!歯を失ってしまうパターン
小さな1本の虫歯から始まって、奥歯を失ったり、歯槽膿漏により奥歯を次第に 失っていく典型的なパターンを説明しましよう。

一見頑丈そうな大きな川の堤も小さな穴から決壊が始まり、広範囲の水害の原因となることがあります。
人間は虫歯を持って生まれては来ません。はじまりはこのような小さな虫歯です。

虫歯を引き起こすミュータンス菌、甘いもの、歯ブラシの不足などによって、小さな虫歯はさらに大きくなって、冠をかぶせるようになります。

冠自体は金属なので、虫歯になりませんが、歯の根元の冠の縁からさらに虫歯が進むと、抜歯せざるを得なくなります。
(冠の縁は精密に作ったとしても、わずかな境目があります。小さな虫歯菌から見たら、そこは十分大きな活躍スペースになります。)
歯槽膿漏も歯の根元の周囲から進行していきます。

歯を抜いた場所を噛めるようにするためには、両側の歯を削って土台として、橋をかけなければなりません。
(この場合、インプラントを勧められる場合があります。ただしインプラントが炎症を起こして、抜けてしまうと、顎骨が大きな吸収を引き起こし、取り返しのつかない問題が起きることがります。)

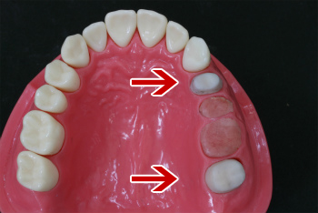
ブリッジと呼ばれる3本組の歯を入れます。
この場所は、二本の土台で3本分の働きをしなければなりません。
負担が大きくなり、ウィークポイントになります。


もし前方の土台の歯を失った場合、ブリッジは作り直しになります。
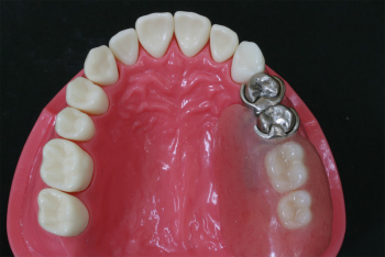
失った歯の前方となりの歯を削り、二本の土台で4本組の歯を入れます。
さらに大きなウィークポイントになります。

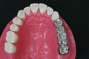
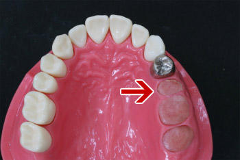
上部★マークの写真で、もし1番後ろの歯を失うと、固定式の歯、ブリッジはできなくなります。

ここから、出し入れ式の入れ歯になります。
患者さんにとって、初めての入れ歯は、慣れるのが大変です。
奥の方にバネをかける歯がないので、不安定です。
患者さんの指の力で、入れ歯を装着したり、外したりしますが、噛む力の方が指よりも強いので、食べているときに浮き上がることがあります。
特に保険入れ歯は、バネの部分がてこになって、歯を抜くような力が加わりやすいのが、欠点です。

入れ歯のバネがかかる歯の寿命は短い傾向があります。
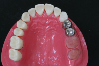
歯の欠損はさらに、拡大していきます。
(ここでインプラントを入れて、入れ歯にしないように勧められる場合があります。
歯磨きをしっかりできない人がインプラントを入れると、炎症を起こしてしまいます。
高齢者になって、しっかり歯磨きができない状態が発生することまで考えて、治療方法を選択すべきです。)

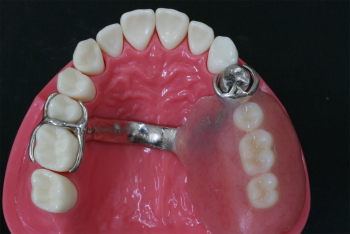
奥歯を3本失うと、歯がある反対側にまで腕を伸ばして、バネをかける必要があります。
保険の入れ歯は違和感が大きいので、対処に苦心します。
(当院のテレスコープ義歯は、歯磨きしやすく、長持ちして、よく噛むことができます。お勧めします。)
歯を次第に失っていくのをストップするにはどうしたらよいでしょうか?
奥歯が早く抜けてしまう「原因」
歯を失う「原因」のほとんどすべてが「虫歯」と「歯周病」です。
奥歯は歯ブラシが届きにくく、歯垢が残ってしまいがちです。
そのため、虫歯や歯周病になりやすく、どうしても寿命が短くなってしまうのです。
ご参考までに歯の平均寿命(短い順位)をご覧ください。
第1位 左下第二大臼歯 49.6歳
第2位 右下第二大臼歯 50.3歳
第3位 右上第二大臼歯 51.1歳
第4位 左上第二大臼歯 51.4歳
第5位 右下第一大臼歯 53.1歳
第6位 左下第一大臼歯 53.2歳

虫歯が1本もない人も、歯科衛生士と相談して、必要ならば歯間ブラシを奥歯に使いましょう。

虫歯がたくさんあって、まだ1本も歯を失ってない人も、歯間ブラシは、必要な場合が多いです。
しっかりした歯科治療を受けていない場合、虫歯になりやすく、歯磨きはとても難しくなります。



歯を失ってブリッジになった場合、歯間ブラシは必ず必要になります。
ブリッジは?み合わせ、適合、歯の清掃のしやすさなど、すべての条件をよく吟味しないと、予後に影響します。
保険では2年しか保証してくれません。


歯間ブラシのほかに、当院ではタフトブラシを進めています。
歯のないところに橋かけしたブリッジをきれいに歯磨きするのは、意外と難しいですよ。

ブリッジを入れたら、必ずメンテナンスに来院してください。
歯科衛生士の指導を受けて、磨き残しがないようにしましょう。
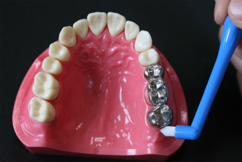
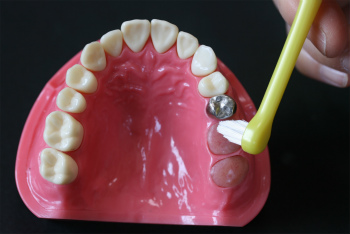
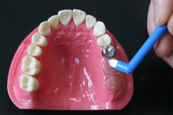
これはディスタルエンドタフトブラシです。

この歯ブラシはオーラルセブンです。
奥歯の根元を全体的にきれいにできるオールマイティーな使いやすい歯ブラシです。

入れ歯のバネのかかる歯は、大切なので、特によく歯磨きしましょう。
オーラルセブンは使いやすいです。

1番奥の歯の向こう側を専門に磨く歯ブラシ、ディスタルエンドタフです。

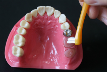
この歯ブラシはプラウトです。
少し小さめなので、歯の根元を狙って正確に歯磨きするときに使います。

歯を抜く際には、しっかりとご相談させていただきます
抜歯が必須のケースには、温存できない理由をきちんとご説明し、患者様の同意の上で抜歯を行います。歯を抜いたときと抜かなかったときのメリット・デメリットをきちんとお伝えいたしますので、納得できるまでご検討ください。
状態によっては「抜いた方が噛みやすくなるケース」もあります。しかし、大切な歯を可能な限り残すための努力は怠りませんので、治療についてのご要望があれば、お気軽にご相談ください。
カテゴリー一覧


