恐怖心を植えつけない

お子様が歯科医院を「怖い」と感じる理由は、「口の中」という自分では見えないところで「何をされるのかがわからない」ことにあると思います。それはきっと、大人の方でも同じではないでしょうか。
そして「なんとなく怖い...」と思っている状態のまま、無理に押さえつけるように診療台に座らされたら、恐怖心を煽ることになってしまうのは明らかです。そのため、緊急を要する場合を除き、当院では基本的に、嫌がるお子様を押さえつけて強制的に治療することはありません。
慣れることからスタート
最初は「お口を開けて中を見せてくれるだけ」でもOK。次には、口の中に含んでもらった水をバキュームで吸い上げて「お口の中での作業や刺激」に慣れてもらったり、それがすぐにできないときには、バキュームを口の中ではなく手に当てて「吸われる感覚」を体験させたりすることもあります。
そして、お口の中にバキュームを入れることができたらほっぺの内側に当ててみる、エアーを当てながらバキュームを使ってみる、タービンを回して音にも慣れてもらう、というように少しずつ敷居を上げていき、徐々に治療へ移っていくようにしています。
しっかり褒めて自信を持たせる
できてもできなくても「しっかり褒めてあげること」が大切です。少しでも練習ができたら、大げさなぐらいに褒めますし、もしも何も練習ができなくても、できなかったことを叱るのではなく「イヤなのによく我慢したね」「歯医者さんに来ただけでもエライよ!」と褒めるのです。
怒られたり叱られたりしたら「もう歯医者さんには行きたくない!」ということになってしうかもしれません。そうではなく「来てくれただけでもエライよ。だからまた来てね」と次につなげることが大事です。お子様にとって「褒められる」ということは、自信や「やる気」の喚起となります。
ただし、以前に歯医者で痛い思いなどをしたことのあるお子様などは、そのトラウマを拭い去るのに時間がかかることもあります。そういう場合には日を変えて、3か月くらい経ってから来てもらうこともあります。とにかく、諦めずに長いスタンスで対応しています。
必要な応急処置は行います
嫌がるお子様を無理に治療するには、どうしても危険が伴います。危険のないことが最重要なので、基本的には無理な治療はしていません。小さなお子様ほど、3か月もすれば心も体もかなり成長しますので、急を要する場合以外は「待つ」ということも大事だと考えます。
ですが、患部の進行度合いによって、痛くて眠れなかったり食事が取れなかったりすると、お子様自身が辛い上に、保護者の方もお困りになるでしょう。そういった場合には、保護者の方に必要な治療内容や注意事項をご説明し、同意をいただいてから必要最小限の応急処置をします。
また、進行止めの薬もご用意していますので、安心してお子様をお連れください。
小児歯科の虫歯予防メニュー
【シーラント】
シーラントとは、奥歯の溝を薄いプラスチックで塞ぐ虫歯予防法です。奥歯の溝は複雑な形をしているために歯ブラシの毛先が入らず、磨き残しが蓄積しやすいのですが、シーラントで奥歯の溝を塞ぐことにより、奥歯の溝の虫歯を防ぐことが可能です。
シーラントは、特に生えたての奥歯の虫歯予防に有効な治療法なので、6~7歳頃や11~13歳頃に行うのが適しています。一人ひとりの治療時期や治療の有効性は、カリエスリスク検査や歯周病リスク検査の結果と歯の成長段階を考慮して、ご提案させていただきます。
【フッ素塗布】
フッ素には、歯の石灰化を促したり、細菌の活動を抑制させるといった効果があるので、定期的にフッ素を塗布することによって、虫歯や歯周病を予防することができます。
【ブラッシング指導】
虫歯や歯周病の原因のほとんどはブラッシング不足です。"磨いている"と "磨けている"には大きな差があり、毎日しっかり磨いているつもりでも、歯と歯の間や奥歯の裏側などに歯垢が残っている場合が多く見られます。そこで当院では、一人ひとりのお口の状態や歯並びなどに合った、正しいブラッシング指導を行っています。
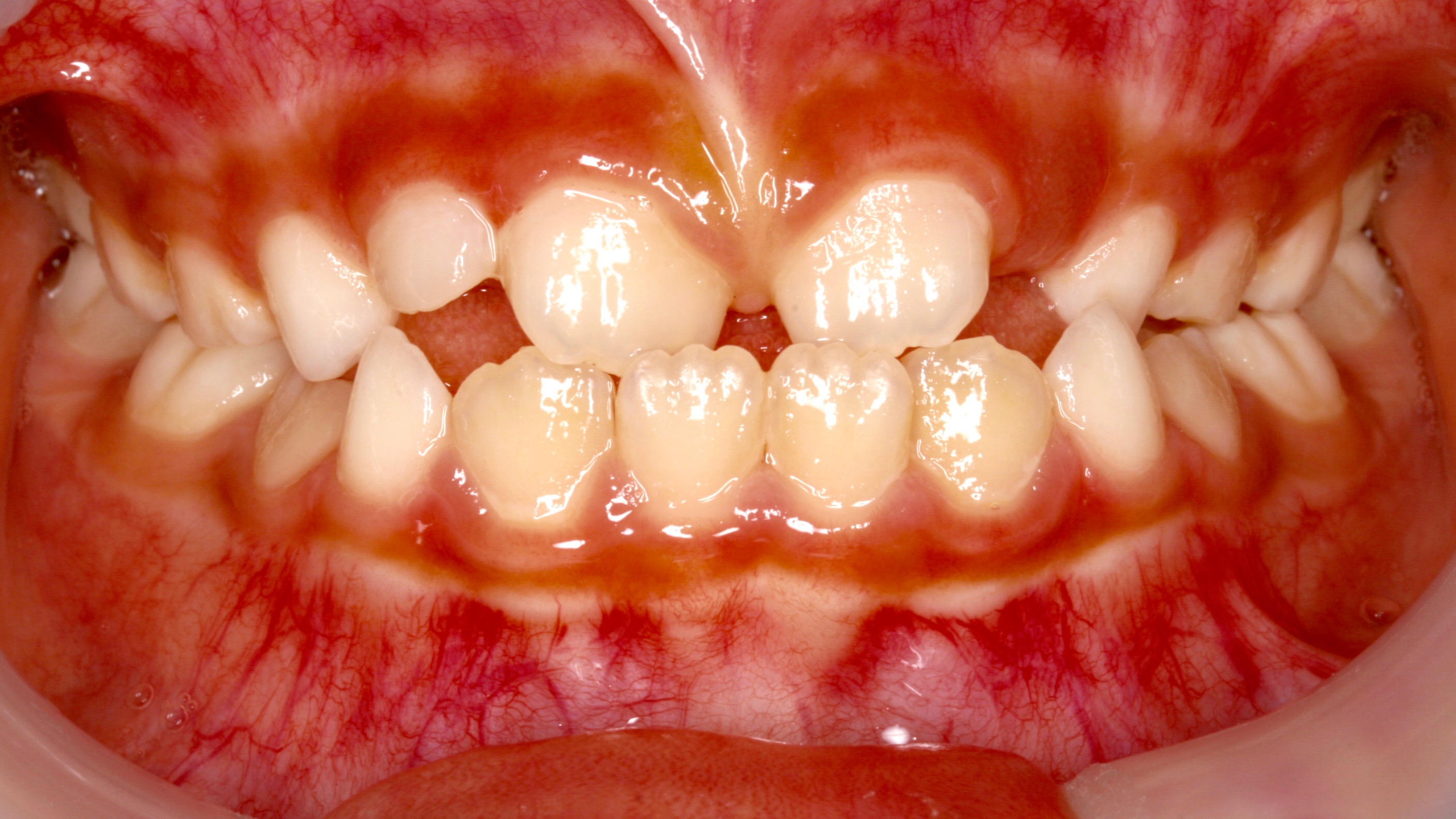
受け口の子(下アゴの大きい子)の矯正治療
下アゴの大きい子(受け口の子)の矯正について

お子さんたちの成長は、その子によって早く伸びることがあり、びっくりすることがあります。
上アゴの成長は概ね10歳位までですが、下アゴの成長は20歳位まで続きます。
下アゴの大きい子は、身長の増加に伴って大きくなっていく傾向があります。
しかし、身長と同様に下アゴの成長抑制には限界があります。また、上アゴが小さくて受け口になっている子もいます。
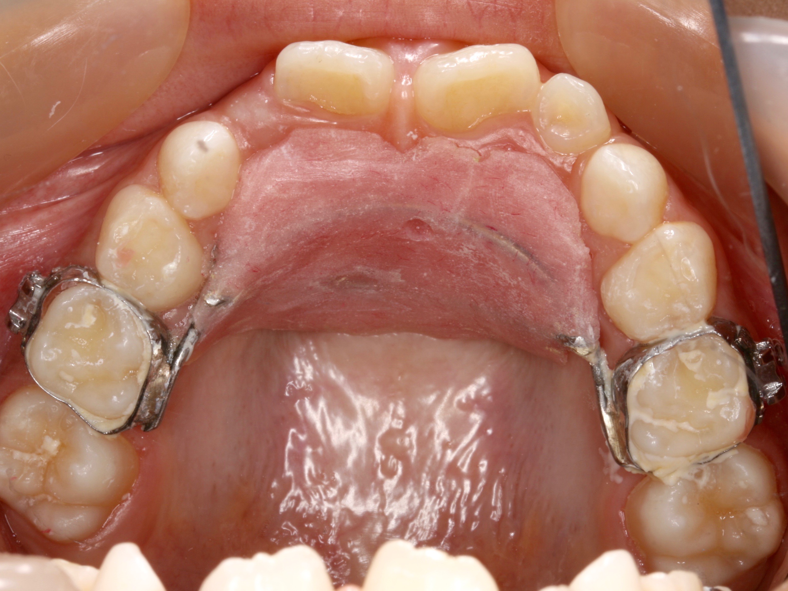
そこでできるだけ早いうちに、10歳位までに上アゴの成長を促進する装置を入れるのが、オススメです。




この装置は、4歳位から装着が可能です。
上下顎骨の骨格のアンバランスがあると、歯の移動だけでは対応できない場合があります。
歯並びを綺麗にするために、入院してアゴの外科手術を受けなければならない場合もあります。
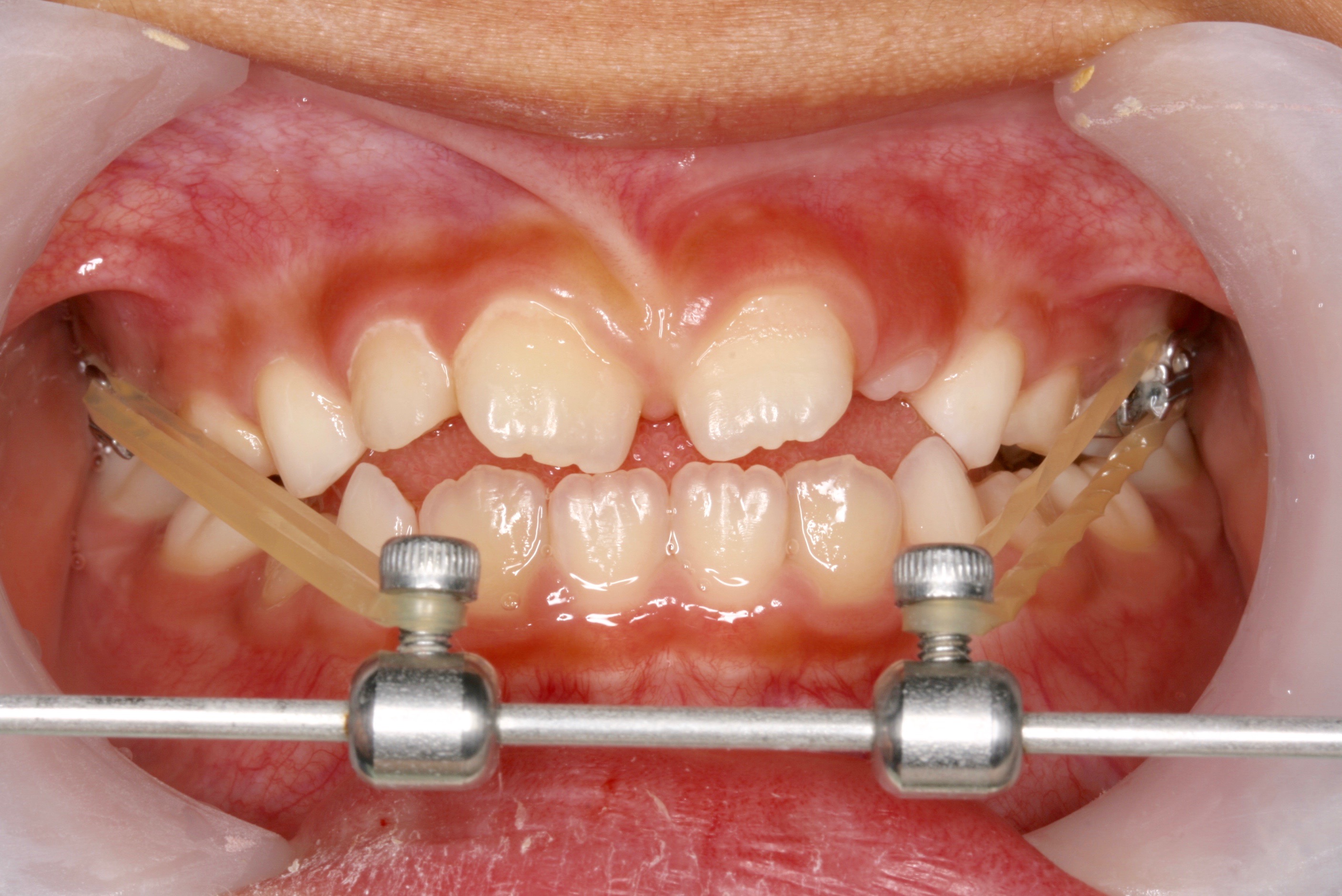
下アゴの成長抑制のために、このようなヘッドギアを使っていただく場合もあります。(20才位まで)
出っ歯の子(上アゴの大きい子)の矯正治療
出っ歯の子(上アゴの大きい子)の矯正について

お子さんたちの頭の部分の成長は、6歳でほぼ完了します。
顔の部分の、上アゴの成長は概ね10歳位まで、下アゴの成長は20歳くらいまで続きます。
骨格的なアンバランスがあると、歯だけを移動させるだけでは対応できない場合があります。
そこで、上の6歳臼歯に装置をつけて、ヘッドギアで後方に引っ張ります。前歯を後方に移動させるスペースを作ることができるだけでなく、下アゴの成長を促進させることができます。
この針金は、6歳臼歯とヘッドギアをつなぐ装置です。


この装置は、7歳から12歳のお子さんに適用します。
上下の骨格的アンバランスを修正することができます。そして、歯並びを矯正しやすくなります。
下アゴの小さい子は、気道が狭く、睡眠時無呼吸症候群であったり、また将来的に移行する可能性があります。
睡眠時無呼吸症候群 OSASは夜よく眠れないために、日中疲労感があり、集中力の欠如のため学習障害の原因となります。また、起床時の爽快感の欠如、猫背といった症状もあります。
お子さんの早めのご相談をお待ちしております。
小児の予防矯正治療費
ステップ1 初診・検査・診断| 項目 | 内容 | 価格(税抜き) |
|---|---|---|
| 初診相談 | 簡易検査および先生からの説明 歯磨きの指導 |
無料 |
| 精密検査 分析診断 カウンセリング |
口腔模型 各種レントゲン 機能検査 口腔審査 写真 カルテ作成 セファロ分析による診断 先生からの治療説明 |
20,000円 |
ステップ2 予防矯正治療費
| 項目 | 内容 | 価格(税抜き) |
|---|---|---|
| A.歯並び治療 | 一般治療 | 300,000円 |
| B.骨格性治療 | 顎の変形もしくは将来的に変形が予想される場合 (例)骨格性遺伝性反対咬合 |
|
| 再診 | 一ケ月間の管理 | 5,000円 |
ステップ3 保定
| 項目 | 内容 | 価格(税抜き) |
|---|---|---|
| 装置技工代 | 後戻りを防ぐ装置 | 無料 |
| 保定再診 | 動的治療終了後、来院時のみ | 3,000円 |
ステップ4 永久歯列期への移行
歯が大きかったり、小児矯正だけでは治らない場合は、全体的な永久歯の治療に移行します。
その場合、差額治療費の18万円が必要となります。
カテゴリー一覧


