トップへ » 金属アレルギーとお口の中の金属の歯
金属アレルギーとお口の中の金属の歯
人間は生きていくために、実にたくさんのいろいろなものを食べています。
①通常、人は1年間に約500キログラムもの
食べ物を食べています。
(1回の食事で500グラム食べるとすると1日1.5キログラム 1.5キログラム×365日= 547.5キログラム)
②人はとても硬いものを食べることができます。
奥歯で思いっきり噛むと数十キロもの力が出ます。
③とても熱い食べ物(お茶や味噌汁80度から90度)から
とても冷たい食べ物(アイスクリーム ー5度)
を食べています。
④強い酸性の食品(梅干しやレモンpH2)から
アルカリ性の食品(ほうれん草pH10こんにゃくpH12)
を食べています。
pH5.5以下の酸性で歯が溶け始める。
⑤塩分の強い食品(醤油、塩漬け)を食べています。
海水や海風に金属は弱い。
お口の中のこのような厳しい環境に耐えられる物質を吟味して、歯科用の金属が開発されてきました。歴史的にも(現代でも)金合金が最も耐久性があり体に優しく扱いやすい金属です。
しかし、希少で高価であるために、代用の金属が使われてきましたが、近年はセラミックやレジン(プラスティック)やハイブリットレジンがたくさん使われるようになってきました。
けれども、現時点では、入れ歯やブリッジにはどうしても金属が必要になります。
ブリッジの製作工程
ここではまず、ブリッジの製作をしていく工程をご紹介いたします。複雑で長く、難しいステップを踏んで、製作していきます。
①抜けた歯の両側の歯を削ります。 |
②歯型をとっているところです。 |
③患者さんのお口から取り外してこれから石膏を流し入れます。 |
④患者さんのお口と同じ石膏模型を作りました。 |
⑤この模型上で、ワックスを使って、金属製のブリッジの原型をハンドメイドで作ります。 |
⑥このワックスパターンを取り出し、植立しました。 |
⑦円柱形のリングをはめ込みました。 |
⑧このリングの中に埋没材を水で練って流し込みます。 |
⑨埋没材が固まりました。 |
⑩金属を溶かして、流し込みむための機械です。 |
⑪金属を容器に入れます。 |
⑫機械にセットし、金属を溶かします。 |
⑬リングを加熱して、埋没材を膨張させ、ワックスパターンを焼却して空洞にします。 |
⑭リングを機械にセットして、鋳造を開始します。溶かした金属をリングの中の空洞に流し込みます。 |
⑮機械から取り出したリングの中で、流し込んだ金属が冷えて固まりました。(この時金属は埋没材の中で、収縮します。このためあらかじめ、埋没材で膨張させる必要がありました。) |
⑯ワックスパターンと同じ形で金属が出来上がりました。 |
⑰砂を吹き付けて、金属表面を清掃し、酸洗いします。 |
⑱模型に合わせるとこのようになります。 |
⑲研磨して、仕上げたところです。 |
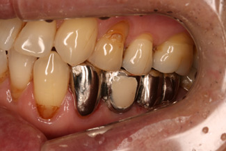
⑳お口の中に装着したところです。 |
以上、保険ブリッジの例で歯を作る工程を説明しました。
たくさんのステップがありますが、途中で1つでも間違いがあると、お口の中に装着することはできません。
特に溶解した金属が固まる時に1%から2%の収縮が起きます。歯にフィットしなくなってしまいます。主に埋没材の膨張により補償するのですが、制作者によって、この全工程をさらに吟味して、精度を高めていきます。
精度を高める方法は、世界中で模索されていますが、制作する材料、機械を吟味すると素晴らしい仕上がりになり、長期的な予後が良くなります。しかし、その分だけコストが上がり、治療費に反映します。 当院では、長期的な予後を考慮して、良い歯を入れるように努力をしています。
金属アレルギー
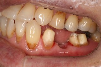
科学技術が進歩した現代においても、入れ歯やブリッジにはどうしても金属が必要になります。(歯が抜けたところがなければ、金属を1つずつ撤去して、他のものに置き換えることは可能です。)
金属が腐食(錆びる)するとイオンとなり溶出したり、イオンとなったものがさらに他のものと化合物を作ったり、消耗劣化します。金属が不安定となり、常に反応が生成し進むことになると合金表面は、荒れたり化合物の生成で着色したり、またイオンの溶出から発生する金属アレルギーの原因ともなります。
生成される化合物は、酸化物、硫化物、塩化物等が多く金属の種類にも異なり、これらの化合物であれば審美的にかなり低下します。
プラークがあれば、う蝕、歯周炎の進行とともに金属腐食はさらに加速する可能性があります。(歯磨きを良くしましょう。)
アレルギーを起こしにくい金属を選ぶ事はもちろん大切ですが、金属の腐食を起こさないような加工しなければなりません。
金属に接触したり、食物に含まれる金属元素を摂取したりすることによりアレルギー症状が現れる「金属アレルギー」は、発症するまでに時間がかかる遅延型アレルギー(Ⅳ型アレルギー)です。一般的にはアクセサリーや生活用品の金属が原因と考えられていますが、現在、歯科においては使用されている20種類以上の金属も、ごくまれにアレルギー症状を引き起こす可能性があります。
金属アレルギー治療の流れ
1.診査(問診、X線撮影など):金属アレルギーの可能性があるかの見極め
2.パッチテスト、血液検査(皮膚科):アレルゲンの特定
3.金属成分分析検査:アレルゲンの存在場所の特定(大学歯学部附属病院での口腔内成分分析 電子線マイクロアナライザEP MA、蛍光X線元素分析法XRFなど)
4.診断:治療計画の立案
5.原因金属の撤去、仮封、テンポラリークラウンの制作など
6.再修復治療:アレルゲンを含まない材料を使用
7.経過観察:アフターケア
大学病院でのデータによると、原因除去療法が終了して2ヶ月経過後では50%以上の患者さんに症状の変化は見られませんでしたが、アレルゲン除去から約2年後で改善傾向は約60%に増えているそうです。しかし、中には症状の変化は見られなかった人もいますので、修復物を外したからといって必ず治るとは限りません。
歯科用の金属は用途に応じて、硬さや引っ張り強さの理工学的性質、加工のしやすさ、生体親和性、耐腐食性、経済性などを求められるため、数種類の金属をミックスして合金で作られます。
貴金属元素の役割
金:酸化しにくく加工性に優れており、他の元素とも合金化しやすい。耐食性、生体親和性に優れています。(金歯と呼ばれるものも純金ではありません。歯科用の合金です。)
パラジウム:密度が小さいため経済性が良く、合金の軽量化に役立ちます。強度、耐硫化性が向上します。
銅:金合金の融点を下げ、硬さ強さ等の機械的性質を向上させます。しかし、添加量が多くなるにつれて耐食性が悪くなるため、添加量は制限されます。
インジウム・スズ:主に陶材との化学的結合に必要な酸化物を生成させる目的で、すべてのメタルボンド用貴金属合金に添加されます。
ガリウム・ゲルマニウム:融点を下げ流動性を向上させる目的で主にパラジウム系合金に添加されます。
白金:金合金の機械的性質を向上させるのに最も効果的な金属であり、金同様、耐食性も良好です。金および銅と相性が良いです。
ロジウム:銀白色の着色に用いられる貴金属。矯正治療用の審美ワイヤーに白くコーティングするのに使われています。
銀:金およびパラジウム等にもよく溶け込みます。金へ銀の添加を行っても機械的性質の変化はあまりありません。また、添加量に応じて合金の融点を下げます。
亜鉛:酸化傾向が強いため、脱酸剤として少量添加されます。合金中の酸素と結合して酸化物となり、他の金属の酸化を防ぐ作用をします。
イリジウム・ルテウム:合金の結晶粒を微細化させる作用があり、機械的性質が向上します。微量添加します。
非貴金属合金
ニッケル・コバルト・クロム
主に入れ歯に用いられる金属です。金属アレルギーを引き起こす可能性が高いです。しかし医療用として吟味され、腐食しにくい、すばらしい合金が開発されてきています。
チタン
軽く、強度が強く、腐食しにくく、生体親和性に優れ、金属アレルギーが生ずる可能性が少ない。入れ歯やインプラントに用いられる。純チタン、チタン合金、酸化チタンなどがある。
陶材の主な成分(メタルボンドクラウンに使用される)
二酸化けい素
酸化アルミニウム
酸化カリウム
酸化ナトリウム
酸化マグネシウム
酸化カルシウム
オールセラミックスの主な成分
ニ酸化ジルコニウム
ニケイ酸リチウム
コンポジットレジン(CR)のフィラーの主な成分(ハイブリッドレジンも同様)
二酸化けい素
酸化アルミニウム
酸化ジルコニウム
酸化バリウム
酸化イットリウム
カテゴリー一覧
トップへ » 金属アレルギーとお口の中の金属の歯

①抜けた歯の両側の歯を削ります。
②歯型をとっているところです。
③患者さんのお口から取り外してこれから石膏を流し入れます。
④患者さんのお口と同じ石膏模型を作りました。
⑤この模型上で、ワックスを使って、金属製のブリッジの原型をハンドメイドで作ります。
⑥このワックスパターンを取り出し、植立しました。
⑦円柱形のリングをはめ込みました。
⑧このリングの中に埋没材を水で練って流し込みます。
⑨埋没材が固まりました。
⑩金属を溶かして、流し込みむための機械です。
⑪金属を容器に入れます。
⑫機械にセットし、金属を溶かします。
⑬リングを加熱して、埋没材を膨張させ、ワックスパターンを焼却して空洞にします。
⑭リングを機械にセットして、鋳造を開始します。溶かした金属をリングの中の空洞に流し込みます。
⑮機械から取り出したリングの中で、流し込んだ金属が冷えて固まりました。(この時金属は埋没材の中で、収縮します。このためあらかじめ、埋没材で膨張させる必要がありました。)
⑯ワックスパターンと同じ形で金属が出来上がりました。
⑰砂を吹き付けて、金属表面を清掃し、酸洗いします。
⑱模型に合わせるとこのようになります。
⑲研磨して、仕上げたところです。
⑳お口の中に装着したところです。

