審美歯科とは

歯の白さや歯並びといった、美しさに焦点を当てた歯科医療全体を指す言葉が審美歯科です。歯の機能を修復するだけでなく「銀歯が目立って気になる」「きれいな歯で笑顔に自信を持ちたい」というさまざまな悩みに対応した素材や治療方法が登場し「歯の美容整形」とも言われています。
機能が前提の審美治療
ただし、きれいに見せるためだけに、健康な歯を削ったり抜いたりすることは、あまりお勧めできません。どんなに美しい人工物であっても、天然の歯に勝るものはありません。そのため当院では、審美歯科においても、できる限り自分の歯を残すことを念頭において取り組んでいます。
また、咀しゃく力(噛む力)の高さや長持ちするといった機能性はもちろん大切ですが、見た目の美しさも軽視することはできません。重要なのは、全体のトータルバランスです。白さだけでもなく、機能性だけでもない「トータル美」を目指して、患者様に最適な治療をご提案しています。
本当の審美は奥歯から始まります
「歯の見た目の美しさ」というと、目立つのは前歯を中心とした前方ですが、前歯をきれいに整えるには、実は「奥歯がしっかり整っていること」が大切です。奥歯が低くなると前歯の噛み合わせが深くなり過ぎてしまいますが、奥歯がしっかりしていると前歯の位置が正常となるのです。
また、奥歯がしっかりしていないと、顎関節症の原因となってしまうため、歯軸方向に噛む力が伝わるように、「土台」となる奥歯を整えることが重要です。そういったことから、前歯を治療するときでも、実は奥歯にも注意が必要なのです。
ただし、奥歯から全体を持ち上げるには、時間や費用もかかります。前歯だけの審美治療のはずが、矯正を含めた全体の治療が必要になることもありますので、そのままの高さで調整していくケースもあります。患者様のご希望に沿ってケースバイケースで対応しますので、遠慮なくご希望をお聞かせください。
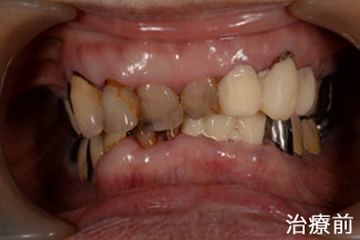
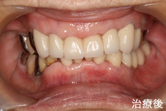
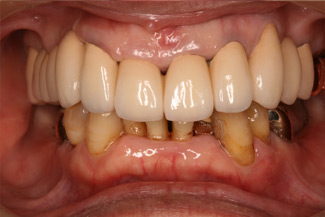
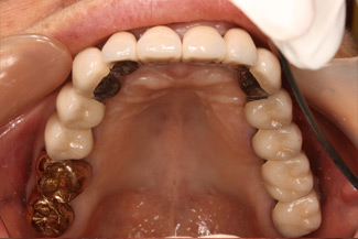
前歯審美歯科の症例
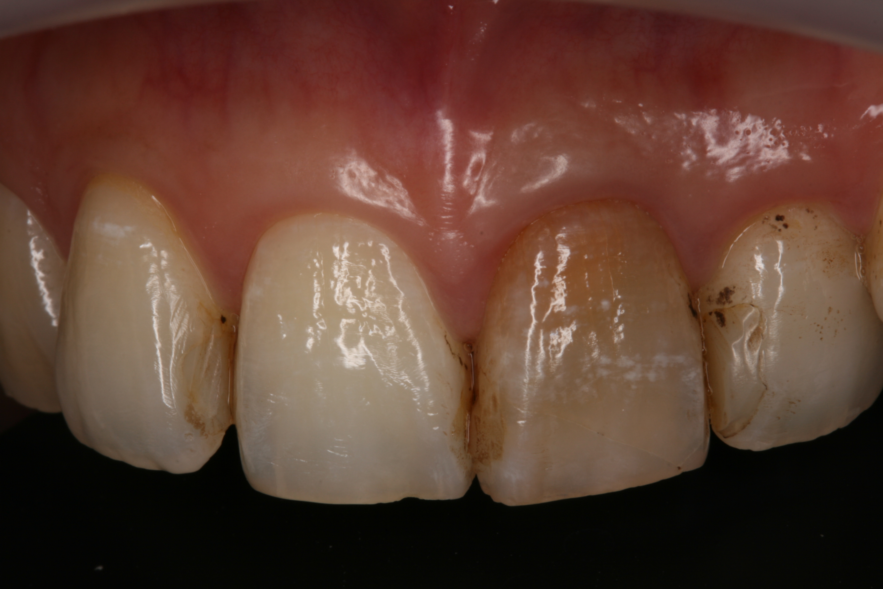
この患者さんは、前歯が黒いのを気にして来院されました。
人と話をしたり、にっこりしたりすると、歯が目立ってしまうので、困っていたそうです。
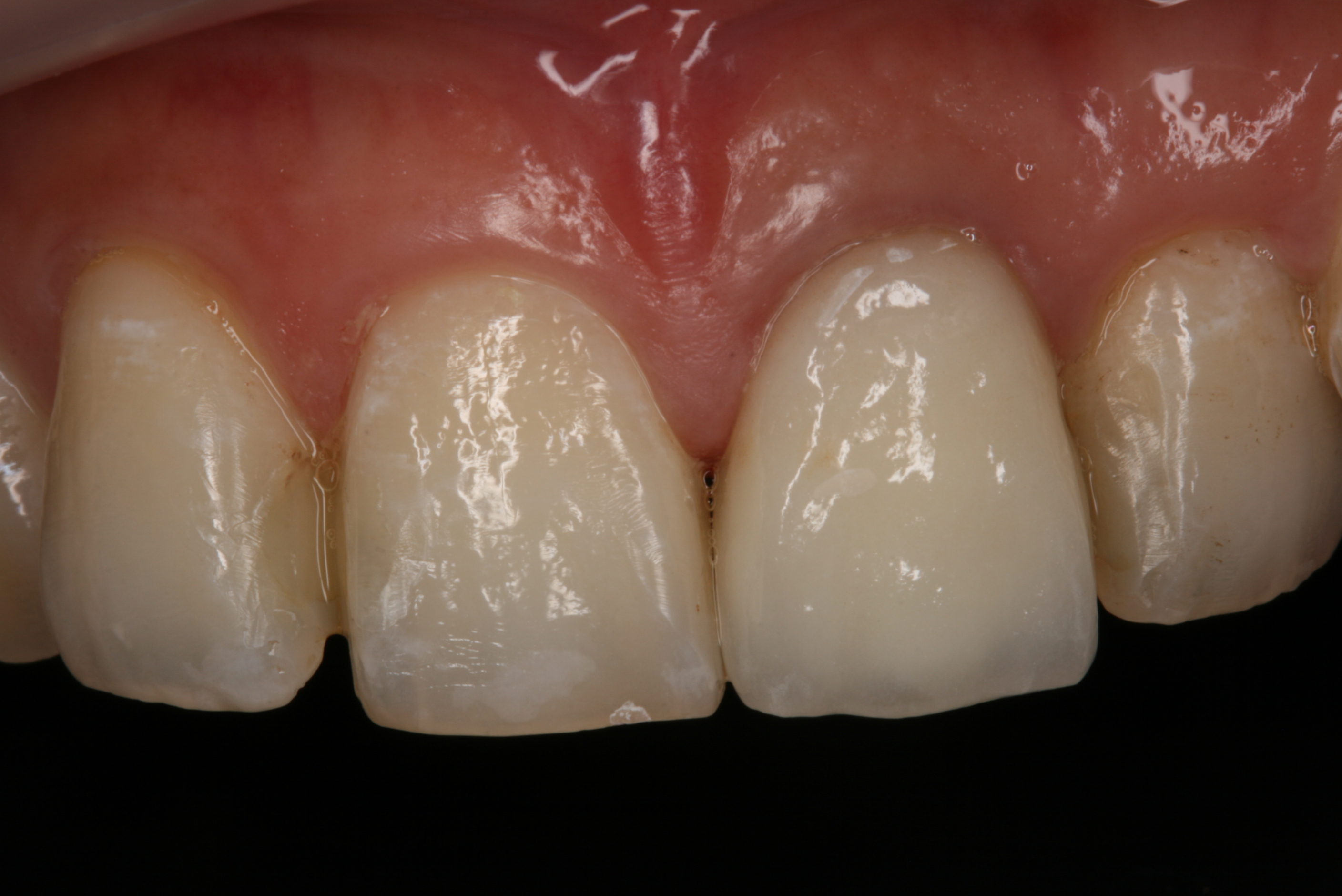
歯の色を決めるには、隣の歯にあわせるだけでなく、肌の色も考慮に入れます。色の三要素として明度(明るさ)、彩度(鮮やかさ)、色相(色合い)を歯のガイド(色見本)を見ながら患者さんと一緒に決めていきます。
歯はオレンジ色の系統ですが、色のガイドをじっと見ていると、網膜の細胞が疲れて、逆にわからなくなってしまうことがあります。補色の青や緑を見てから、さっとの色を決めるのがコツです。
上の前歯の方が下よりもやや白く、年配の人よりも若い人の方が白い傾向があります。
人の視線は両眼と上の前歯を結んだ三角形の内側に集中するそうです。
細かく見ていくと、歯の先端から根元の方にいくにつれて、僅かなグラデーションがあり、決して一様な色ではありません。また平坦に見える歯も解剖学的に微妙な凹凸があります。
![]()
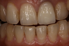
患者さんは、大変満足してくださいましたが、長持ちさせるために、奥歯がしっかりしていないと前歯に負担がかかり、破損する場合もあります。
歯の美しさは総合的な歯科治療の結果です。
歯を大切にしましょうね!
審美歯科メニュー
【ジルコニア(デザイン仕上げ)】
白く透明感のあるセラミックをジルコニアの表面に層状に焼き付け仕上げした人工歯です。内部に金属を一切使用していないため自然な色合いが再現でき、審美性に優れている。
<ジルコニア(デザイン仕上げ)のメリット>
・短い治療期間で、白く美しい歯を手に入れられる
・金属を使用しないため、歯肉の変色や金属の露出がなく、アレルギーも起こりにくい
・天然の歯に近い硬さであるため、周囲の歯や噛み合う歯を痛めることがない
・透明感があるため、天然歯のエナメルのような色調再現性がある
・薄くても強度があり、割れにくい
<ジルコニア(デザイン仕上げ)のデメリット>
・歯を削る量が比較的多い
・保険適応外なので比較的高価になる
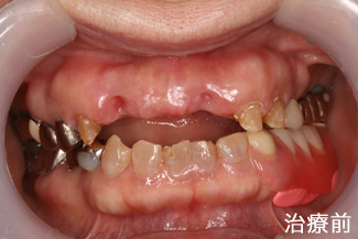
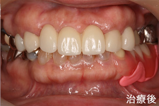
<前歯部ジルコニア修復の症例1>


<ジルコニア(デザイン仕上げ)症例2>


【ジルコニア】
人工ダイアモンド素材を精密に削り出して、歯の表面に自然な色合いを焼き付けた人工歯です。自然な白さと強度があり、奥歯の治療や歯ぎしりをされる方にも適しています。
<ジルコニアのメリット>
・色が自然歯に似ているので審美性に優れている
・割れにくいので、奥歯も含めてすべての部位に使用できる
・金属不使用なのでアレルギーが起こりにくい
<ジルコニアのデメリット>
・歯を削る量が比較的多い
・保険適応外なので比較的高価になる
【メタルボンド】
メタルボンドとは、金属の上からセラミック(陶器)素材で覆い、しっかり焼き付けた人工歯の総称です。金属部分が見えないため見た目がきれいで、セラミックによって天然歯に近い色調や質感を再現することができる上に、土台に使用した金属が、より強度を高めています。
<メタルボンドのメリット>
・表面硬度が高く、摩耗しにくい
・色素が付着しにくく、変色がない
<メタルボンドのデメリット>
・歯肉や歯が黒ずんで見えることがある
・処置する歯の数が多い場合(ブリッジなどの場合)ジルコニアよりもメタルボンドの方が経済性がよくなります。しかし、金属部分はほとんど見えない仕上げになりますからご安心ください。写真をご参考下さい。


【金合金】
歯科治療で使われる材料で最もポピュラーなのが金属材料です。虫歯の除去後、歯に被せたり詰め物をしたりするのに幅広く使われます。その中でも主に保険外の場合に使用されるのが、金合金や白金加金(金にプラチナを加えたもの)です。
これらの貴金属は非常に錆びにくいため、保険の金属の問題点であった金属の溶け出しによる二次的な虫歯、歯や歯ぐきの変色、金属アレルギーといった点には優位性があります。硬すぎず、適合も良いというメリットがあります。
<金合金のメリット>
•金属なので強度が強く、ほとんどの部位に使用できる
•最も適合が良く、二次的な虫歯になりにくい
•金属の溶け出しによる歯ぐきの変色、金属アレルギーなどが起こる可能性が低い
<金合金のデメリット>
•保険外治療となるので値段が高い
【ラミネートベニア】
歯の色を美しく見せるため、歯の表面を薄く削って白いセラミックを貼り付ける治療方法です。ホワイトニングよりも手軽な「歯のメイクアップ法」で、例えるなら、爪にネイルチップ(付け爪)を貼るような感覚です。また、このチップで歯の隙間を隠すことにより「すきっ歯」の治療にも有効です。
<ラミネートベニアのメリット>
・歯を削る量が少なく、治療回数を減らすことが可能
・ホワイトニングに比べて後戻りがない
・すきっ歯などの小さな乱れを、矯正治療を行わずに短期に治すことができる
<ラミネートベニアのデメリット>
・多少、健康な歯の表面を削ることになる
ホワイトニングとは

特殊な薬剤を用いて歯を白くする治療法がホワイトニングです。コーヒー・お茶・赤ワインなどの飲食でついた歯の汚れや、タバコでついたヤニ、加齢によって黄色く変色した歯などを、歯を削ることなく白く輝く歯にすることができます。
ホワイトニングには大きく2種類あります。1つは診療室で行うオフィスホワイトニング、もう1つは自宅で行うホームホワイトニングです。
<ホワイトニングのメリット>
●歯を傷つけることなく白くできる
●自分で色の調節ができる
●ほかの治療と比べて費用が安い
<ホワイトニングのデメリット>
●人によって効果にばらつきがある
●色が戻ってしまうので、継続が必要
【当院のお勧めメニュー】ホームホワイトニング
「ホームホワイトニング」とは、患者様一人ひとりのお口のサイズに合わせたトレー(マウスピース)を用い、家庭で薬剤を塗布して行う方法です。使用する薬剤は、10%過酸化尿素や3%程度の過酸化水素を含む薬剤です。
刺激の少ない薬剤を使用するため安全性も高く、ご自宅で都合の良い時間に行うことができることから、なかなか歯科医院に通えない忙しい方にお勧めです。また、色の後戻りも少なく、白さが長続きします。
<ホームホワイトニングのメリット>
●薬剤の刺激が少ない
●通院の回数が少なくて済む
●高額な機器を必要としないため、比較的安価でできる
●白くなりにくい歯でも、長く使用することで白くできる可能性がある
●後戻りが少ない
<ホームホワイトニングのデメリット>
●効果発現が遅い
●象牙質やエナメル質が厚い歯では、効果が得られるまでに期間がかかる
カテゴリー一覧


