矯正治療とは

歯列矯正は、一般的に出っ歯・乱ぐい歯・八重歯・受け口といった噛み合わせの悪い歯並びを、自分の歯を生かしたまま治療することです。歯並びが悪いと、汚れが溜まりやすく落としにくいため、虫歯や歯周病になる可能性が高くなり、加齢と共に歯を失う可能性も大きくなります。
つまり歯並びの改善は、お口の中の環境のみならず、生活習慣や体内環境までも改善し、健康の維持・増進を目指すことにつながります。治療方法としては、お口の中に装置を入れて歯に一定の力をかけ、人工的に歯を動かして、悪い歯並びや噛み合わせを整えていきます。
当院では、矯正に関する相談は無料で行っていますので、歯並びを良くしたいと思っている方は、どうぞお気軽にご相談ください。
3D-LST矯正システム 6つのメリット
①体に害がなく、特に歯根吸収などの
医原病はほとんど起こらない。
3D-LSTシステムを用いれば歯根吸収を起こさずに矯正治療が可能です。
②痛みの軽減
ワイヤーが細く、弱い力で治療するため、治療初期段階での最低限の痛みのみの方がほとんどです。
③治療時間(チェアタイム)と治療期間が短い
3D-LSTシステムでは理想的な歯体移動を行うため、無駄を省くことになり、治療期間、つまりチェアタイムなどが画期的に短縮されます。
④低価格
3D-LSTシステムは矯正治療の合理性を追求した結果、治療費の低価格設定が可能になり、患者様により利用しやすくご提供することができます。
インプラントなどの高価な特殊材料が不要です。
家族特典として、2人目以降のご家族は、30,000円の割引をいたします。
料金表をご参考下さい。
⑤審美矯正治療
標準で白い審美ブラケットを使用します。だから普通の装置より断然気にならない見た目ですが、さらに目立たないようにと言う方には、オプションで白いコーティングワイヤーもご用意いたします。
⑥指しゃぶりの治療
指しゃぶりをしたり、舌や唇を噛んで飲み込む癖などの強い機能障害が、歯並びに影響を与えたり、矯正治療の障害になるケースが数多く見られます。
当院では、口腔機能治療(マイオファンクショナルセラピー:MFT)と言う専門的な治療法を学んだ衛生士が治療を行います。
初めての方に矯正歯科の流れ
矯正治療ってどうやって始めればいいの?矯正治療の流れが簡単に分かるチャート。

お気軽にご相談ください
無料カウンセリングにお越しいただいた後に、無理に治療を勧めることはいたしません。
数か月後の経過観察により、矯正治療が必要ないと判断されるケースございます。
まずは、お気軽に無料カウンセリングによる専門家の診断をご活用ください。
歯並びが気になる方へ
ケース No.1
治療開始は11歳(写真左)治療終了は13歳(写真右)保定期間は2年


ケース No.2
治療開始は11歳(写真左)治療終了は13歳(写真右)保定期間は2年


ケース No.3
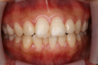
治療開始23歳<術前>


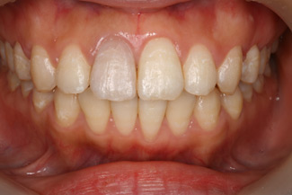
治療終了25歳<術後>

指しゃぶり、爪かみ、舌突出癖、口呼吸と3D-LSTの矯正治療
指しゃぶり、爪噛み、舌突出癖、口呼吸などがあると、歯並びに影響が出てしまうのをご存知でしょうか。最近の子供たちにはとても多いんです。
そもそも、歯が生えていない赤ちゃんと、乳歯列が完成した幼児よりも大きな子供(もちろん大人も)とは食べ物を飲み込む時の口の動きは異なっています。
赤ちゃんはおっぱいを飲み込む時には、舌を突き出して乳首をくわえたままで飲み込みます。しかし、歯がしっかり生えている人は舌を上あごに付けて、奥歯で噛み、唇を閉じて飲み込むのが正常です。
ところが、歯がしっかりと生えているにもかかわらず、赤ちゃんのやり方で食べ物や飲み物を飲み込んでいる子供たちが多いのです。
![]()
私は、地元の保育所から小学校・中学校の学校歯科医をしています。およそ3、4歳から15歳までの子供たちを継続して観察しています。飲み込むときに異常のある子どもは、保育所では大多数、小学校では半数、中学になっても3割ぐらい残っています。
![]()
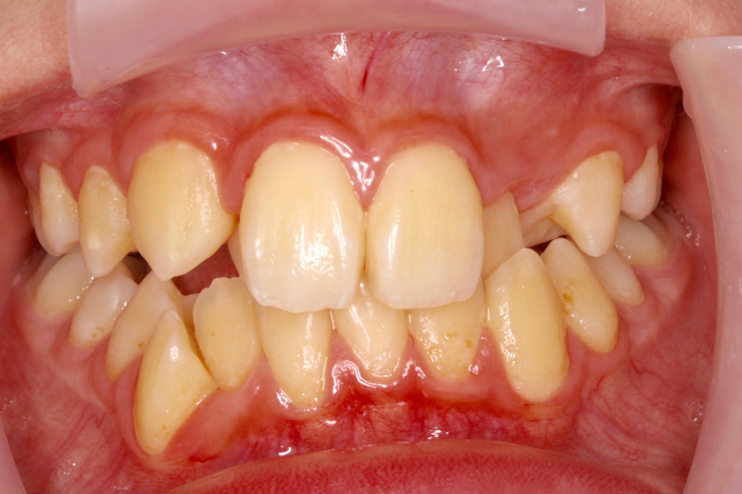
2歳半で乳歯列が完成するので、赤ちゃんの飲み込み癖は卒業すれば良いのですが、今の子供たちはかなり遅れています。右の写真は40代の女性です。かみ合わせの異常もあるのですが、いつも上の前歯を舌で押していました。もちろん飲み込むときにも押していたので、上の前歯が前の方にでてきています。押された前歯はグラグラしてきています。
![]()
この方は80代の女性ですが、やはり飲み込むときに舌で前歯を強く押していました。このために前歯が抜けてしまい、ブリッジを入れる事になりました。赤ちゃんの飲み込み癖は一生卒業できないのかもしれません。歯科疾患に対する影響は数値化が難しいですが、気がついたときには何とかして患者さんに赤ちゃんの飲み癖を卒業してもらえるように頑張りたいと思います。
![]()
特に3D-LSTの矯正治療では、少しでも早く、少しでもキレイに歯並びの治療が終了するように、飲み込み癖のある患者さんには、MFT口腔機能療法を一緒にやっていきます。日本では、まだ一般的ではありませんが、大きな治療的意義があります。心当たりのある方は、お気軽にご相談ください。

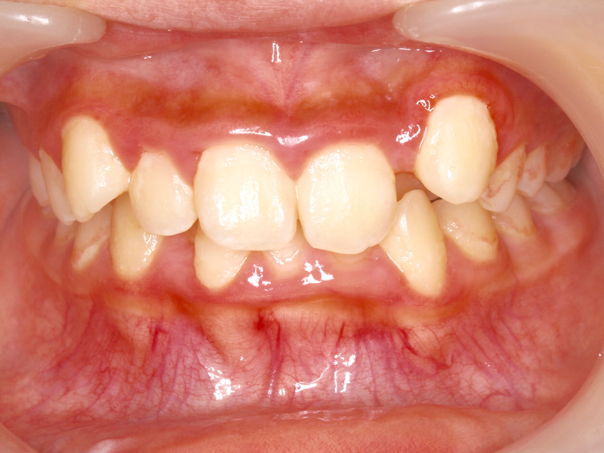
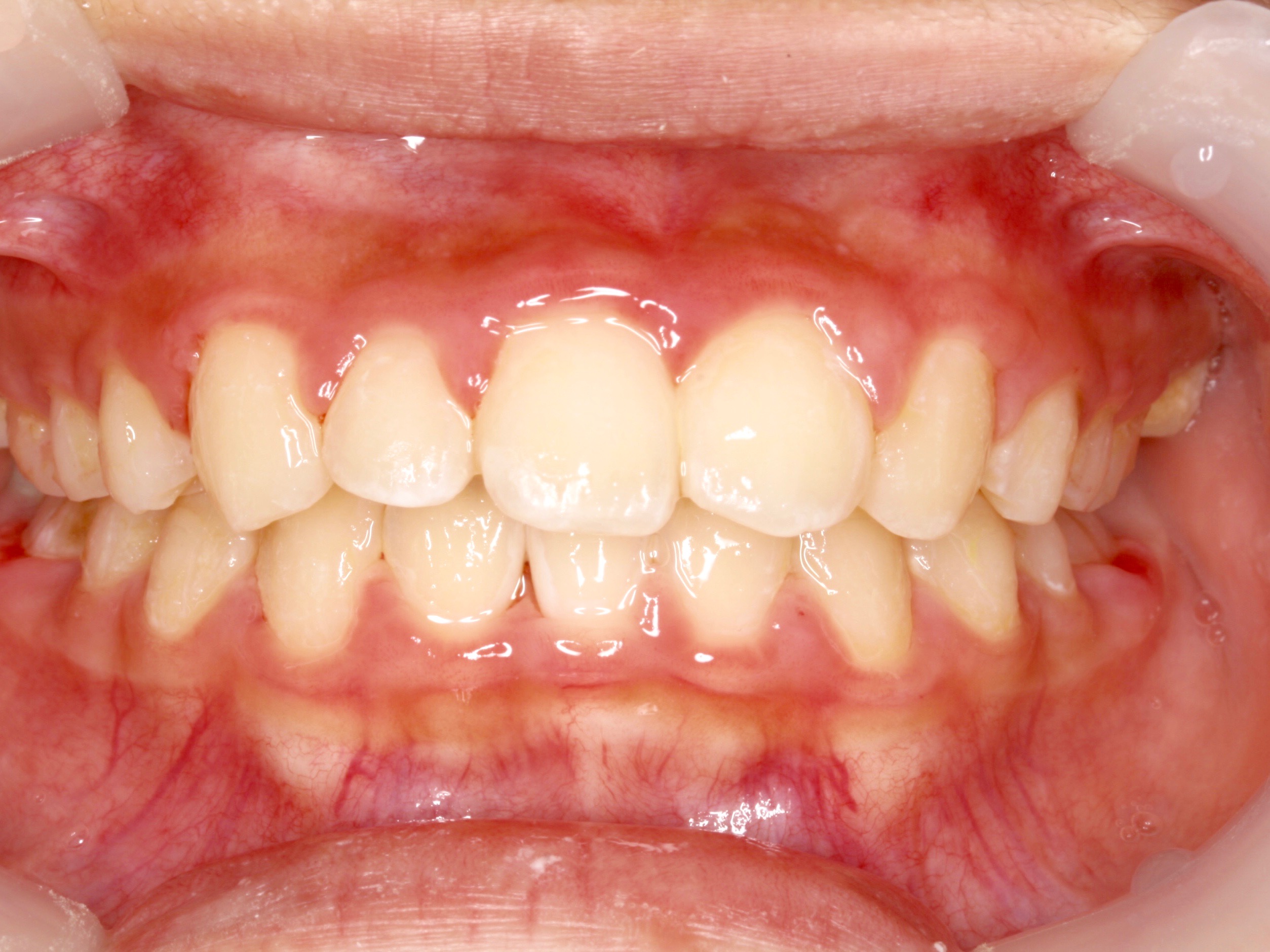
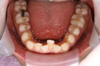
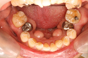
この患者さんは当院に20年以上通院している方です。下顎両側の内側に転移している二本の奥歯は、この10年の間に、少しずつ虫歯と歯周病が進んできて、クラウンをかぶせるようになってしまいました。歯並びが悪いと、徹底的なブラッシングと定期検査をして管理しても、どうしても虫歯や歯周病が進行してきて、歯の寿命が短くなってしまいます。歯の健康を保つ上で、3D-LST歯列矯正をすることは大変に有意義なことなので、ぜひお勧めします。
永久歯列の矯正治療費
ステップ1 初診・検査・診断| 項目 | 内容 | 価格(税抜き) |
|---|---|---|
| 初診相談 | 簡易検査および先生からの説明 歯磨きの指導 |
無料 |
| 精密検査 分析診断 カウンセリング |
口腔模型 各種レントゲン 機能検査 口腔審査 写真 カルテ作成 セファロ分析による診断 先生からの治療説明 |
20,000円 |
ステップ2 矯正治療費
| 項目 | 内容 | 価格(税抜き) |
|---|---|---|
| 基本治療費+装置代 | クリアブラケット 金属ワイヤー使用 |
480,000円 |
| 再診 | 一ケ月の管理調節費用(翌月から) | 5,000円 |
永久歯の抜歯1本につき8,000円
ステップ3 保定
| 項目 | 内容 | 価格(税抜き) |
|---|---|---|
| 装置技工代 | 後戻りを防ぐ装置 | 無料 |
| 保定再診 | 動的治療終了後、来院時のみ | 3,000円 |
カテゴリー一覧


