あきらめていませんか?入れ歯でしっかり咬むこと
こんにちは!院長の風間です。
今回は昨年7月にご紹介したリーゲルテレスコープ義歯の完成ケースをご報告します。
テレスコープとは望遠鏡の意味で、内側の筒状の冠を歯にかぶせ、外側の筒を入れ歯にしたものです。また、リーゲルとはかんぬき(閂)の意味で、内側の筒と外側の筒(入れ歯)をレバーにより固定するものです。
この入れ歯は、自分で装着したり、外したりできるものですが、どちらかと言うと入れ歯と言うよりは、固定式のブリッジに近いかもしれません。そのくらい強く噛むことが出来、硬い食べ物を味わうことができます。
また、お口の中でコンパクトにまとまって、邪魔になりません。バネがないので、食べ物が引っかかったり、頬や舌が荒れたりしません。バネがないので、笑った時に見えるのは、白い歯だけです。
![]()
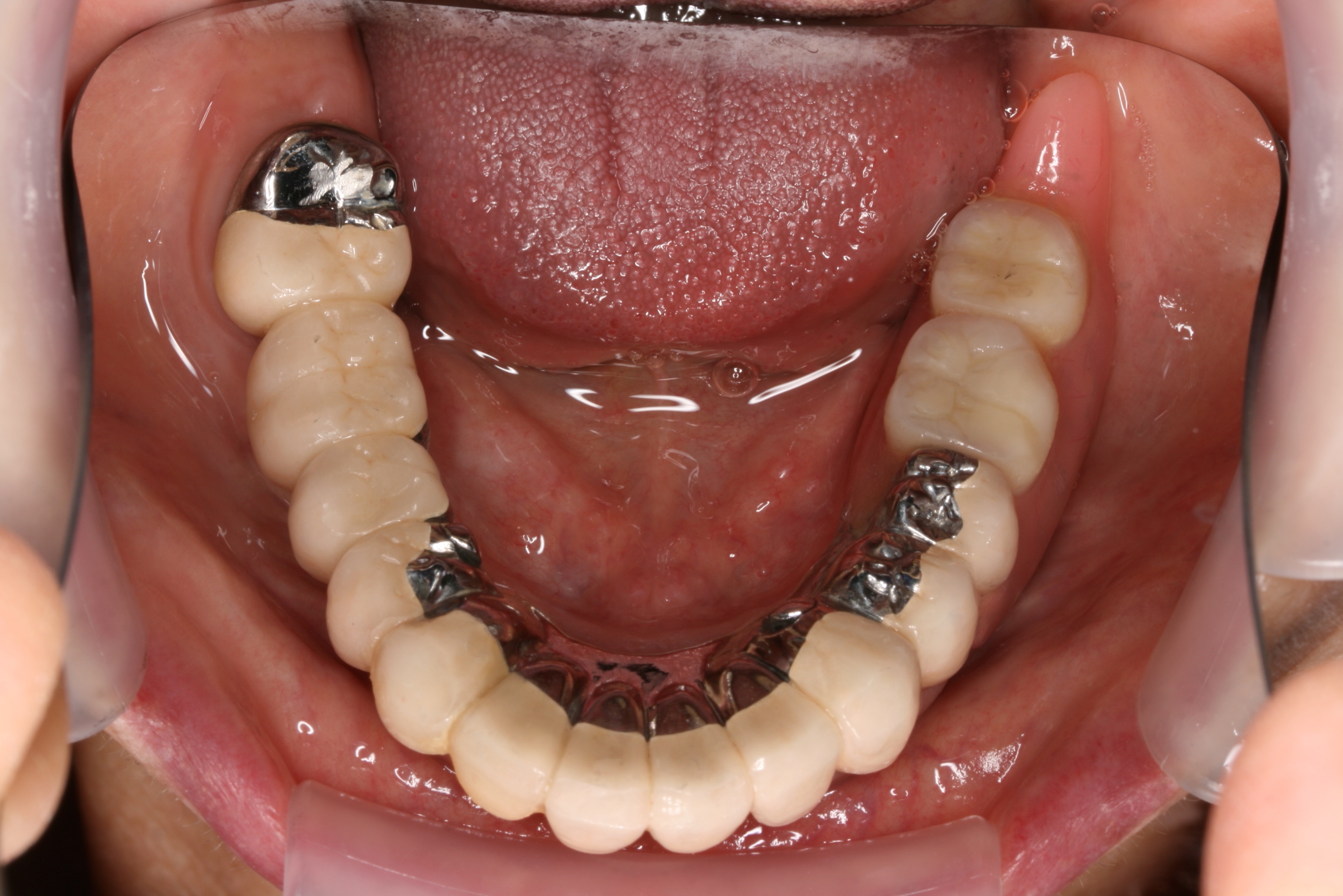
入れ歯を装着し、レバーをロックして動かないようにしたところです。
この入れ歯は、インプラントのような外科手術が必要ありません。
入れ歯でしっかり咬むことを諦めている多くの人には、このドイツ方式の入れ歯をぜひ知って欲しいと思います。
日本の現状は、やむを得ず歯を失って入れ歯になると、さらに入れ歯のバネ(クラスプ)のために歯を失って、より大きな入れ歯を再製作することを繰り返しています。これでは、どんなにおいしいものを食べても、食べ物のうまみが口の中で広がらないし、しっかり咬めなくて消化吸収が入り口でつまずきます。
この患者さんは、「どんなことがあっても、明るく前向きに取り組んでいくことが、私の信条です。」
とお話されました。
「自分にとって良いものを引き寄せることができるのです。」
