リーゲルテレスコープ義歯症例
先日のリーゲルテレスコープ義歯症例の続きをご報告しましょう。
入れ歯を作るための歯の治療を終了してから、型を取り始めて、今日は4回目の診療です。
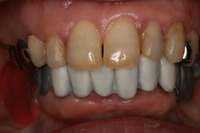
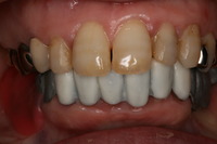
まず、内冠を患者さんの歯に仮止めしてから、その上に外冠を合わせて、噛み合わせを見ます。
前歯の白い部分は仕上がりをイメージして、ワックスで仮に仕上げてあります。
この入れ歯は、奥歯のほとんどの部分を白く仕上げる予定です。
白い部分は、陶材(ポーセレン)を焼き付けて美しく仕上げる予定です。
テレスコープにおいては、技術的に非常に難しい仕上げ方ですが、順調に試適を終えました。
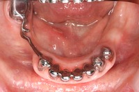
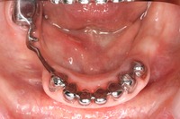
リーゲルレバー(閂カンヌキ又はスイングロックとも言う)を開いたところです。
外冠を取り外すことができます。
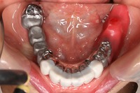
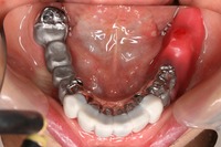
リーゲルレバーを閉じたところです。
お口にしっかりと固定され、びくともせずにしっかりと咬むことが出来ます。
今回は、患者さんの上の歯の色、お顔の肌の色に合わせて、色合わせをしたので、
次回は陶材(ポーセレン)を外冠に焼き付けて仕上げ、もう一度試適をする予定です。
お楽しみに!
