前歯審美歯科の症例
こんにちは、院長の風間です。
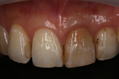
上の前歯の審美歯科の症例を報告しますね。
この患者さんは、前歯が黒いのを気にして来院されました。
人と話をしたり、にっこりしたりすると、歯が目立ってしまうので、困っていたそうです。
40![]()
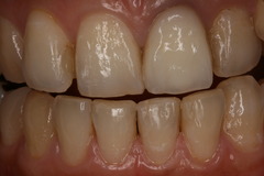
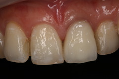
歯の色を決めるには、隣の歯にあわせるだけでなく、肌の色も考慮に入れます。色の三要素として明度(明るさ)、彩度(鮮やかさ)、色相(色合い)を歯のガイド(色見本)を見ながら患者さんと一緒に決めていきます。
歯はオレンジ色の系統ですが、色のガイドをじっと見ていると、網膜の細胞が疲れて、逆にわからなくなってしまうことがあります。補色の青や緑を見てから、さっとの色を決めるのがコツです。
上の前歯の方が下よりもやや白く、年配の人よりも若い人の方が白い傾向があります。
人の視線は両眼と上の前歯を結んだ三角形の内側に集中するそうです。
![]()
細かく見ていくと、歯の先端から根元の方にいくにつれて、僅かなグラデーションがあり、決して一様な色ではありません。また平坦に見える歯も解剖学的に微妙な凹凸があります。
隣の歯との正確なマッチング、アーティスティックな仕上げを試みる場合は、熟練した技工担当者に色合わせのために、チェアーサイドに来てもらうこともあります。そして患者さんの歯や顔をデッサンしてもらい特別に仕上げます。
患者さんは、大変満足してくださいましたが、長持ちさせるために、奥歯がしっかりしていないと前歯に負担がかかり、破損する場合もあります。また寝た姿勢だけで噛み合わせの調整を超えると、起きたときに前歯のあたりが強めになるので注意が必要です。
歯の美しさは総合的な歯科治療の結果です。皆さんも歯を大切にしましょうね!
