歯槽膿漏に注意!
こんにちは、院長の風間です。
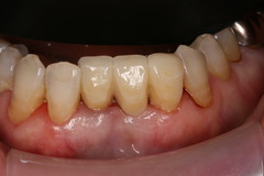
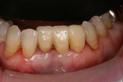
歯槽膿漏で、もし歯が一本抜けると、両側の歯を削り、3本組の歯を作ることになります。
また、二本抜けてしまうと、その両側の歯を削り、合計で4〜6本組の歯を作ることになり、歯を失うたびに大がかりになっていきます。
このため、なんとか歯槽膿漏をストップし、安定させた状態で長く歯の機能を保たせたいものです。
①歯磨きをしっかりすること
②歯科医院でお掃除をしてもらうこと(スケーリング)
通常の予防管理は上記の通りで良いのですが、
重症になってくると
③抗生物質を併用する(歯周内科)
④歯周外科治療をする
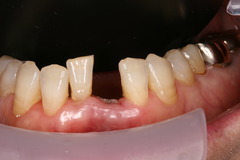
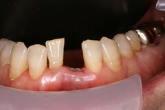
この方の場合は、
③までの治療で、手を尽くしましたが、来院の間隔がやむを得ず長くなってしまい病気が進行しました。このため④歯周外科をする時期を逃してしまい、両側の歯に炎症が波及する可能性があり、残念ながら抜歯させていただきました。
前歯のブリッジをセットして、これから長く使っていただけるよう、歯周組織の管理を患者さんと二人三脚でやっていく予定です。
この方の場合、他の場所にもブリッジがありますが、15年間全く問題なく使っていらっしゃいます。
皆さんも、しっかり歯磨きをして、自分の歯を大切にしてくださいね!
