受け口の子(下アゴの大きい子)の矯正治療
こんにちは、院長の風間です。
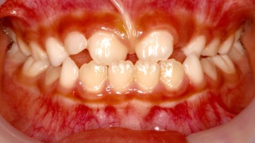
今日は下アゴの大きい子(受け口の子)の矯正についてお話しします。
お子さんたちの成長は、その子によって早く伸びることがあり、びっくりすることがあります。
上アゴの成長は概ね10歳位までですが、下アゴの成長は20歳位まで続きます。
下アゴの大きい子は、身長の増加に伴って大きくなっていく傾向があります。
しかし、身長と同様に下アゴの成長抑制には限界があります。また、上アゴが小さくて受け口になっている子もいます。
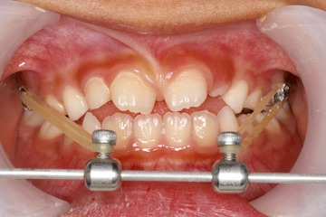
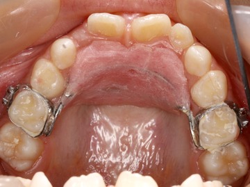
そこでできるだけ早いうちに、10歳位までに上アゴの成長を促進する装置を入れるのが、オススメです。
上下顎骨の骨格のアンバランスがあると、歯の移動だけでは対応できない場合があります。
歯並びを綺麗にするために、入院してアゴの外科手術を受けなければならない場合もあります。
![]()
下アゴの成長抑制のために、このようなヘッドギアを使っていただく場合もあります。
お子さんのために早めのご相談をお待ちしております。
