«  2017年10月 1 2 3 4 5 6 7 8 9 10 11 12 13 14 15 16 17 18 19 20 21 22 23 24 25 26 27 28 29 30 31

« ベーグル | メイン | 受け口の子(下アゴの大きい子)の矯正治療 »

2017年5月30日


こんにちは、院長の風間です。

春の歯科検診のシーズンになってきました。
当院では相談が無料となりますので、お子さんの歯並びが気になる方は気軽においでください。

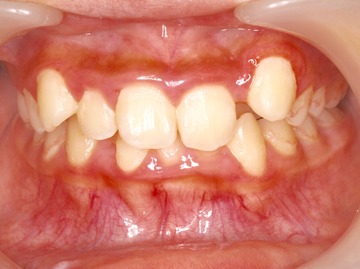
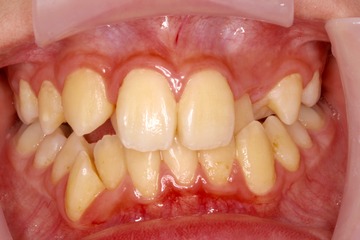
ケース No.1
治療開始は11歳(写真上)治療終了は13歳(写真下)保定期間は2年

ケースNo.1 治療前 (1).jpg
ケースNo.1 治療後 (1).jpg


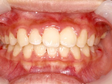
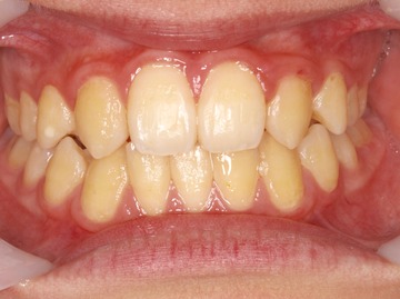
ケース No.2
治療開始は11歳(写真上)治療終了は13歳(写真下)保定期間は2年

ケースNo.2 治療前 (1).jpg
ケースNo.2 治療後 (1).jpg


よく頑張って通院してくれました。
綺麗になって良く噛めるようになったと喜んでもらえました。
歯並びの気になる方は是非おいでくださいね!

トラックバック

このエントリーのトラックバックURL:
http://www.kazama-dentalclinic.jp/cgi/mt/mt-tb.cgi/505

風間歯科医院 院長 風間巳子夫
風間歯科医院
http://www.kazama-dentalclinic.jp/
院長 風間巳子夫

【院長経歴】
平成3年4月 風間歯科医院開業(新潟大学歯学部卒)
平成6年9月 武運濃神社宮司就任
平成17年~平成21年 飯水歯科医師会会長