レジリエンツテレスコープ義歯と総義歯
こんにちは、院長の風間です。レジリエンツテレスコープ義歯について説明したいと思います。
レジリエンツテレスコープ義歯とは
自分の歯が少なくなって、上または下アゴのどちらか一方の、残っている歯が3〜4本以下になった場合に適用します。
このような場合、多くは寿命の長い糸切り歯が残っています。
レジリエンツテレスコープ義歯は、残り少ない歯にバネで無理をかけずに、総入れ歯の形で、残っている歯も一緒にかぶせるのでバネが邪魔にならず、見えません。
自分の歯のように噛むことができます。
残っている歯が抜けたとしても、そのまま総入れ歯として使っていくことができるので、長持ちします。
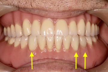
ケース NO.1 ⬆︎ 残した歯 ⬆︎ 抜いた歯
![]()
![]()
上が総入れ歯、下がレジリエンツテレスコープ義歯です。
![]()
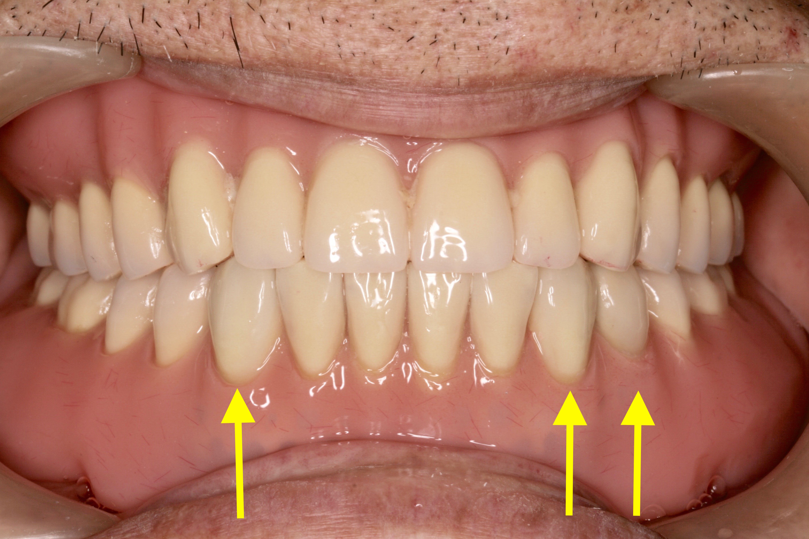
ケース NO.2 ⬆︎ 残した歯 ⬆︎ 抜いた歯
![]()
![]()
上がレジリエンツテレスコープ義歯、下が総入れ歯
この患者様は下アゴが分からない程痩せてしまっているため、
高度な技術が必要となります。
![]()
総入れ歯の方
・歯槽膿漏で歯を失った
・若い時に総入れ歯に移行した
・合わない総入れ歯を長い間使った
このような方のアゴは、アゴの骨が痩せて、総入れ歯が不安定になりがちです。
総入れ歯になったら、もう歯の治療が必要無いわけではなく、痩せてきたアゴの骨に合わせるように、修理したり新しく作るなどのメンテナンスが必要になります。
総入れ歯は、維持安定を求める歯が無いので、たくさんのノウハウやチェックポイントに注意を払って製作していく必要があります。
介護が必要になる前にしっかりと歯の見直しをしましょう。
(インプラント治療を希望される方は、介護が必要になった場合のメンテナンスをどのようにするか考えておきましょう。)
